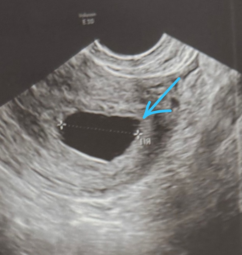
Плодное яйцо 21,4 мм, мне кажется или там что то есть?
Срок б28.06.2025 сегодня была на узи. Плодное яйцо 21,4мм внутри ничего не увидели. Врач сделала заключение анэмбриония. Мне так кажется или в плодном яйце что-то виднеется?


Nastasya
Это, скорее всего, просто «шумы», при таком плодном яйце уже четко все видно. Но, дай бог🙏🏻
28.06.2025
Ответить
Анна
Интересно, почему пя растёт, если там никого нет... но при таком пя уже должен быть эмбрион большой,ктр 8-10,если развитие нормальное(. У меня было пустое,потом исчезло само
28.06.2025
Ответить
Mmm
Анна, при анэмбрионии растёт, при каком размере пя у вас исчезло? Я надеюсь на поздную овуляцию, так как цикл у меня не регулярный. У некоторых при пя 23-24 мм эмбрионы только были видны как я читала. Очень надеюсь что нормально всё будет. А на фото узи мне прям видно что то.
28.06.2025
Ответить
Анна
Madina, это давно было,не помню уже и я не предала значения, поскольку была двойня,это второе яйцо было. Плодное яйцо такое большое это на сроке 7 недель где-то.
28.06.2025
Ответить
Анна
Madina, у меня цикл от 30 до 40 дней,в среднем 36,всегда поздняя овуляция, и всегда по узи разница неделя с акушерским сроком,бывает чуть больше. А желточный мешок увидели? Пока нет эмбриона,видят желточный мешок
28.06.2025
Ответить
Mmm
Анна, нет не увидели, думаю может то что еле еле заметный это желточный мешок? Не знаю даже, врач сказала на следующей неделе придти на повторное узи. Если тогда ничего не будет, то точно пя пустой
28.06.2025
Ответить
Inara
Анна, ну не всегда. У меня при ПЯ - 31 мм в прошлую Б ктр был всего 1,5мм. Только появился. А в эту беременность почти так же. Пя - 30мм, ктр -2мм
28.06.2025
Ответить
Mmm
Ксеня,врач 6-7 недель сказала. Сказала придти на повторное узи через неделю.Мне прям виднеется маааленький кружочек, вам видно? Или мне одной так кажется
28.06.2025
Ответить
Ксеня
Madina, ну через недельку переделайте узи. А по вашему какой у вас срок? У меня вот поздняя овуляция была. Но я точно знаю потому что секс был 2 раза в конце цикла.
28.06.2025
Ответить