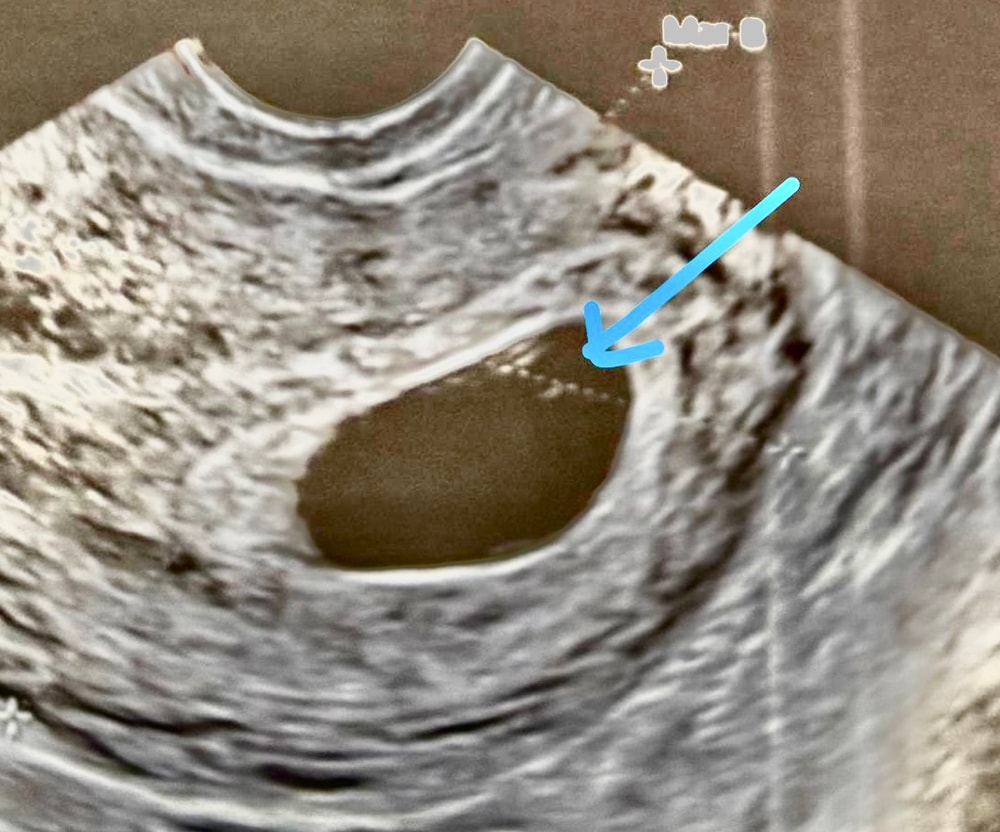
Это же желточный мешок да??
Срок б
28.06 была на узи, поставили заключение замершая беременность в сроке 6-7 недель , анэмриония. Плодной яйцо 21,4 мм. Сказала идти на чистку.
Но после осмотра смотрю на фото узи и вижу такую картину. Как можно такое не увидеть?Я же не одна вижу? Как увидела это кружочек чуть успокоилась🥹 и начала писать другим врачам. Все написали что «надо на повторное узи, а на чистку не ходите ни в коем случай. Ещё рано так твердить и тем более отправлять на чистку»
хочу ещё подождать, дать время подрасти💕 на узи наверное пойду через 10 дней. Пусть всё будет хорошо.
Лучший ответ
cherry
У меня тоже анэмбриония была с желточным мешочком.
В любом случае сейчас только динамику смотреть. Недели уже будет достаточно.
Новая здоровая беременность наступила в первом же цикле после вакуума.
02.07.2025
Ответить
Nastasya
При таком размере ПЯ действительно вряд ли будет что-то хорошее, но дай бог
03.07.2025
Ответить
Виктория
Нет смысла ждать 10 дней, у вас плодное яйцо уже 21 мм, через 4 дня будет 25, если тогда не появится, то уже не появится, сходите на УЗИ дней через 5 и все будет ясно
02.07.2025
Ответить
Марина
У меня была анэмбриония с жм,пя росло хорошо,жм был,но не спас, эмбрион не появился по сроку и потом ждала почти до 8 недель и овуляция отслежена была и была на 14 д.ц
Динамика по УЗИ
5,1 акушерских пя 7 мм
6,5 акушерских пя 20,жм 5, эмбриона нет,под вопросом анэмбриония
7,0 акушерских пя 22,6,жм 5,5 анэмбриония
7,3 акушерских пя 26,жм 6,4 анэмбриония
7,5 медикаментозный аборт и на третий цикл новая здоровая беременность наступила и динамика такая
5,1 акушерских пя 8 мм,жм 1,6
6,3 акушерских пя 19,ктр 5,4 и ЧСС 146 уд/мин
8,0 акушерских пя 28,ктр 18 и ЧСС 180
Как потом мне говорила врач у меня не чистая анэмбриония была,когда вообще эмбрион не зарождается,а замершая на очень раннем сроке, поэтому жм и был,а эмбрион замер до того как его можно увидеть было по УЗИ, поэтому и анэмбриония по УЗИ
Динамика по УЗИ
5,1 акушерских пя 7 мм
6,5 акушерских пя 20,жм 5, эмбриона нет,под вопросом анэмбриония
7,0 акушерских пя 22,6,жм 5,5 анэмбриония
7,3 акушерских пя 26,жм 6,4 анэмбриония
7,5 медикаментозный аборт и на третий цикл новая здоровая беременность наступила и динамика такая
5,1 акушерских пя 8 мм,жм 1,6
6,3 акушерских пя 19,ктр 5,4 и ЧСС 146 уд/мин
8,0 акушерских пя 28,ктр 18 и ЧСС 180
Как потом мне говорила врач у меня не чистая анэмбриония была,когда вообще эмбрион не зарождается,а замершая на очень раннем сроке, поэтому жм и был,а эмбрион замер до того как его можно увидеть было по УЗИ, поэтому и анэмбриония по УЗИ
02.07.2025
Ответить
Анна
Ну вообще при таком размере уже жм должен быть около 5 мл. А пя у Вас слишком большое.
У меня были такие значения ПЯ - 25, ЖМ - 5, КТР - 8 мм, сердцебиение
В любом случае нужно переделать узи.
02.07.2025
Ответить