Аппарат Хааса. Больно давят крючки.

Лучший ответ

У нас хаас , не было никаких болей, правда у нас и крючков нет
09.11.2023
Сыну вообще нигде ничего не мешало, с самого начала
09.11.2023
Я думаю, что это с непревычки. Наш тоже плакал, болит, но потом постепенно привык, через неделю уже не замечал, иногда спрашивает, когда мы её снимем. Носим почти год, только нам ещё и 2 передних зуба скрепили брекетами, вот они ему больше доставляли неудобств
02.11.2023
Не жаловалась моя. Поставили в 6 и 9 мес. Мне кажется, там десну вообще не должно натирать, что-то даже не пойму, где контакт такой у вас…
02.11.2023
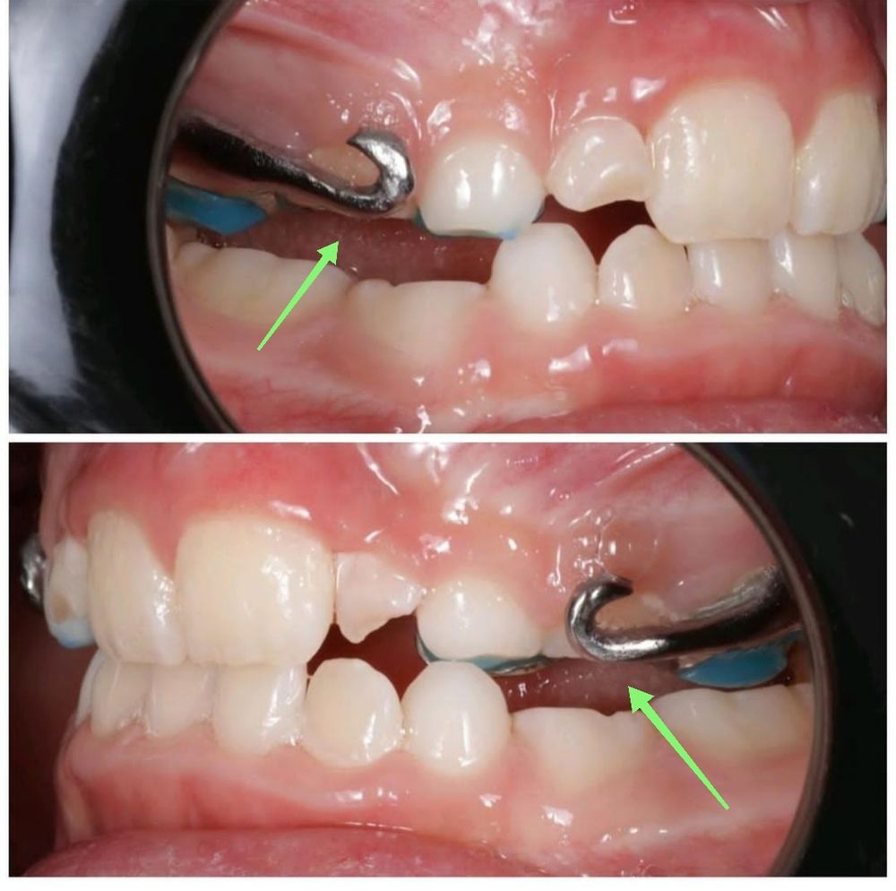
Ксюша, посмотрите, пожалуйста. Добавила фото.
02.11.2023
Secrets_of_the_rain, у нас их не было🤷🏼‍♀️ десна вряд ли привыкнет, я бы записывалась к ортодонту на коррекцию Изображение
02.11.2023
Ксюша, у нас их, видимо, добавили для ношения лицевой маски, чтобы нижняя челюсть не заходила на верхнюю. Я сама сейчас только увидела. Вот и думаю, что к такому вряд ли можно привыкнуть(((. Спасибо за ответ!
02.11.2023
Secrets_of_the_rain, нужно привыкнуть. Это неприятно и давит, ничего с этим не сделать. А как крутить начнете вообще боль.
02.11.2023
VER4EVI4, я просто боюсь, что крючки как-то так сделаны, что натирают десну и к этому нельзя будет привыкнуть. На остальные части аппарата жалоб нет. Именно на боль в дёснах, где соприкасаются крючки. У вас аппарат с крючками был или без?
02.11.2023
Secrets_of_the_rain, они могут натирать и десну и щеку, тк это инородное тело. Да с крючками. Потом как надените маску будут резинки натерать.
03.11.2023
VER4EVI4, спасибо! Всё-таки у сына был процесс привыкания. На следующий день уже ничего не мешало. Подскажите, пожалуйста, а ребёнок как у Вас в маске спал ночью? Просто с трудом представляю, как можно спать с инородной штукой на лице? И был ли результат? Удалось исправить прикус?
07.11.2023
Secrets_of_the_rain, изначально маску носили днем, но то попить, то поесть, то песни поет -мешает. Воач сказала "смело одевайте на ночь". Пару ночей привыкала спать только на спине, потом все супер. Маску нужно носить мигимум 8 часов в день. Именно ночные ношения маски очень выдвинули челюсть вперед.
07.11.2023
VER4EVI4, спасибо большое!
08.11.2023
Крючков не было. Натирать может. Особенно в дальнейшем, если будут проблемы с гигиеной
03.11.2023
Долго нет зуба Ребёнок и удаление зуба update