4 года

Как думаете, девочка или мальчик?)

Ставлю на девчулю💪🏻
07.09.2021
На 12 неделе не информативно, на 2 скрининге узнаете
06.09.2021
50/50
06.09.2021
Предположу, что девочка) На первом фото видно вроде как очертания полового бугорка, и мне кажется, что он параллельно спинке идет.
06.09.2021
Julia Tim, спасибо за ответ!))
06.09.2021
А на УЗИ не предположили? Тут по лицу никак не погадаешь, если честно))
06.09.2021
Юлия Sonnце, да да я понимаю))) просто видела кто то по форме черепа, по бугоркам гадает)) а вдруг :D
06.09.2021
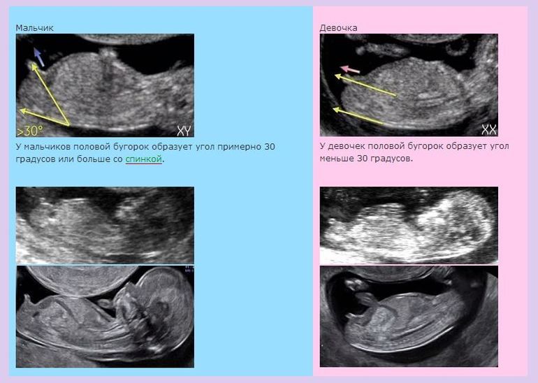
Кристи, ну, насчёт формы черепа не уверена, а вот по половому бугорку могу. Но на ваших снимках его не видно, потому что в основном засняли голову и тело частично.
06.09.2021
Юлия Sonnце, аа, поняла, ну ладно, жаль) фото какие есть)😅
06.09.2021
Кристи, можете, в принципе, через пару недель повторить узи, и там уже будет видно половые органы, а не просто бугорок😊
06.09.2021
Юлия Sonnце, наверное так и сделаю) спасибо !)
06.09.2021
Юлия Sonnце, а на моем снимке как думаете? Изображение
16.07.2022
Светлана , тут плод вообще спинкой развернут. Нужно такое фото, если с 1 скрининга. Изображение Хотя на вашем сроке можно уже увидеть с другого ракурса, со стороны попы.
16.07.2022
Это беременность? Или ещё рано судить. Слабые две полоски Как бы вы поступили на моем месте? Переезд с мужем в другую страну на 8 мес беременности или остатьс