Папа и четверо в лодке
Юлия, налет, и эмаль слабая очень как и ногти слабые то гнутся то трескаются ., у второго ребенка тоже самое. А у третьего мои гены , эмаль сильная.
14.09.2022
Ответить
Юлия
SUPER PAPA , меры надо принимать, такому малышарику конечно ещё рано - надо с врачом обсуждать такое в индивидуальном порядке, нужна чистка хорошая, регуляроно чистить зубы, ну и не налегать на то что провоцирует эту грязь наример сладкое питье, бананы.. У меня ранние шестёрки и они сгнили к 10 годам из-за топудной доступности для чистки, это лишний раз доказывает, что чистка зубов защищает рот от кариеса, попробуйте щётку Мега тен - дорого, конечно, но она очень удобная
14.09.2022
Ответить
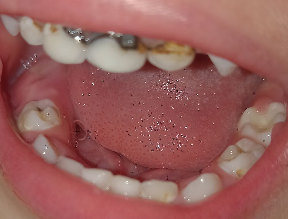
Папа и четверо в лодке
Юлия, вот купил щетку колгейт 2+ заяц. За 2 недели утром и вечером смог убрать налет с зуба и обнажилась полость с боку 4го зуба нижнего с обоих сторон челюсти у этих зубов. Что же делать ....
И ночью сухое молоко блин просит.
В Клинике по полису омс в Москве ГБУЗ 63 ул. Молодогвардейская эти зубы даже не обработали. У них в прайсе платных услух я нашел фторирование. И еще есть air flow.
НО врач по ОМС тока серебром помазала зубы два верхних и все.
Юлия, вот купил щетку колгейт 2+ заяц. За 2 недели утром и вечером смог убрать налет с зуба и обнажилась полость с боку 4го зуба нижнего с обоих сторон челюсти у этих зубов. Что же делать ....
И ночью сухое молоко блин просит.
В Клинике по полису омс в Москве ГБУЗ 63 ул. Молодогвардейская эти зубы даже не обработали. У них в прайсе платных услух я нашел фторирование. И еще есть air flow.
НО врач по ОМС тока серебром помазала зубы два верхних и все.
14.09.2022
Ответить
Юлия
SUPER PAPA , гигиена максимальная и всё надо щётку почистить и закрыть по-максимуму
15.09.2022
Ответить