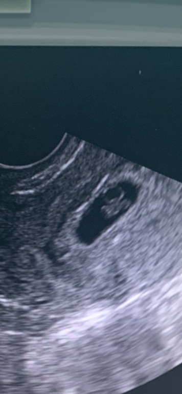
Daria
Если приблизить фото, то можно и второго эмбриона рассмотреть😊 тем более если это только 6 недель. Но конечно дальше будет видно)
30.01.2021
Ответить
Kulik
1 конечно! 2 плода иначе выглядят. Все тоже самое что у вас только в двойном количестве.
30.01.2021
Ответить
YanaM
Один, кто тут двоих увидел, видимо не умылись утром
Один эмбрион и один Желточный мешок
30.01.2021
Ответить
Оставшиеся комментарии доступны после регистрации
Зарегистрируйтесь и получите полный доступ ко всем функциям сайта.
