Анехогенное включение в матке
Девочки, хэлп. Схожу с ума от неопределенности, ждать еще несколько дней.
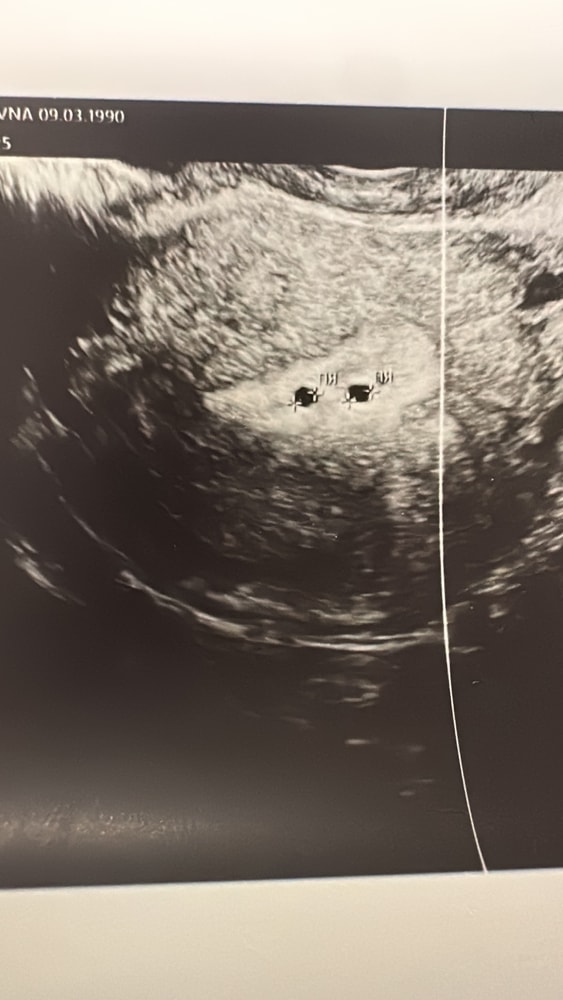
узи на 23 день цикла, 2 желтых тела 21 мм и 22мм, энд 14.
при этом в матке 2!! Анэхогенных включения округлой формы 2,7 мм и 2,6 мм
тут же я побежала сдавать хгч (по моим подсчетам 6 дпо), не натощак и вообще в обед
результат <0,3 😏😏😏
Вопрос - что за анэхогенное включение, врядли это пя?хгч нет, значит и в матке нет. Узистка очень удивилась,сказала очень похоже на б. врач молчит, говорит ждать. Но как можно увидеть пя на 6 дпо когда даже Хгч нет 😭😭😭 еще ждать неделю хотя бы, мозг кипит.узи делала платно в очень хорошем мед центре. Может кто-то сталкивался с таким ?

Елена
Кисточки обыкновенные.
"Вопрос - что за анэхогенное включение, врядли это пя?" - 100% не пя
26.07.2025
Ответить
Александра
Елена, да уже это поняла.. но надежда на задержку есть) 2 жт есть ведь. Не помешали бы только они если случится беременность вдруг
26.07.2025
Ответить
Елена
Александра, не ну это само собой, просто у вас 6 дпо, там даже если что то есть не увидишь) И ХГЧ ещё может не вырабатываться. Рано)
Два не помешают
26.07.2025
Ответить
Александра
Елена, я засомневалась потому что читаю что эти включения часто в яичниках находят, а потом девочки оказываются беременными. А вдруг это ПЯ уже прикрепились, а Хгч еще не успел начать вырабатываться 🙄 фантазии эх ☺️☺️
26.07.2025
Ответить
Александра
Светик, спасибо за ответ. Тоже к этому склоняюсь, но так зацепило )). И 2 жт и 2 точки в матке
26.07.2025
Ответить
Танюшка
Может узи у др специалиста? И завтра утром пересдать хгч
Как то неоднозначно всё, не стыкуется
26.07.2025
Ответить
Александра
Танюшка, вот и я в сомнениях. Учитывая что первую беременность перепутали с кистой и назначили свечи для ее рассасывания. Благо я их не купила
26.07.2025
Ответить
Александра
Танюшка, к узи вопросов нет. Я сама монитор изучала, и эти 2 точки точно были ) Хгч уже позже пересдам. В любом случае если 2 жт то в этом цикле еще есть шанс на беременность, пока жду. Не помешали бы только эти анэхогенные включения. Почему их 2?? Может это с прошлого цикла что-то ? 😭😭 я с ума сойду
26.07.2025
Ответить
Танюшка
Александра, хотя миомы скорее всего другие на узи... Вопрос в том, как специалист уз диагностики не смог диагностировать правильно 🤦
26.07.2025
Ответить
Александра
Танюшка, я тоже задаюсь вопросом. Ее смутило наличие 2 жт 21 мм и 20 мм. И два одинаковых кружочка в матке. Сказала что киста конечно может быть, но слишком они ровные круглые и почти одинаковые. Так только при беременности бывает. Сказала что кисты такие красивые крайне редко случаются
26.07.2025
Ответить