На МРТ какой-то подозрительный объект
СтранностиПошла в феврале с давлением и сахаром в клинику. Ходила с 2005 года, и всегда "всё нормально". В этот раз тоже: все анализы в норме, а по симптомам щитовидка совсеп страдает. В жизни никак её не лечила. А еще она уменьшается.
Витамин Д - 9. СОЭ 18. А вот моча не очень. И болит спина и все суставы.
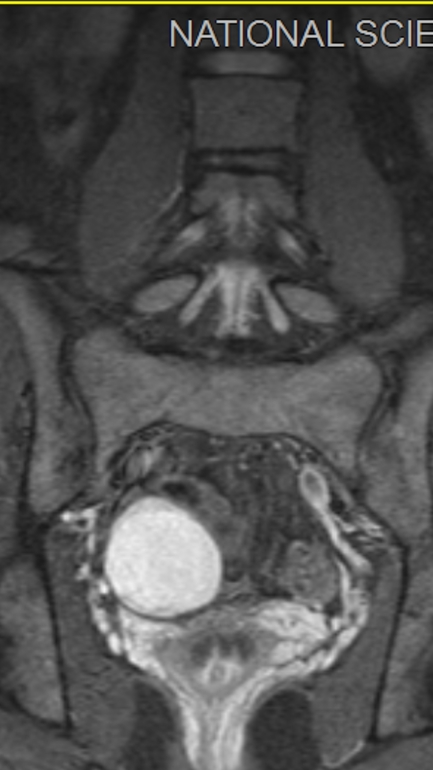
С подозрением на спондилит отправили на МРТ суставов/сочленений (крестец, копчик, таз), а там на нескольких кадрах белый шар объёмом 5.2×4.5×4.2 см.
М. не болезненные. В жизни боль при них была только раз. Попыток забеременнеть не было в жизни ни разу. Всё регулярно, бывает чуть дольше цикл, и сами кд до 7-8 дней. Как начала витамин Д пить - кд по 5 дней стали.
Собственно, на эту сферу я и думать не могла. Может кто подскажет, что это может быть? Прикреплю одну из фото с МРТ.
P.S. Приём завтра. Но хочу спросить знающих и в интернете.


Два кадра в разном режиме.
Есть идеи, что это может быть?