Череппааашка по имени Натааашка
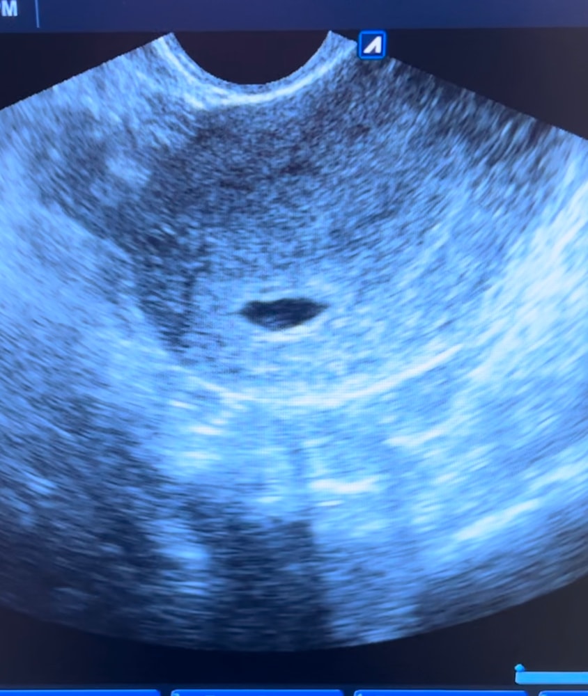
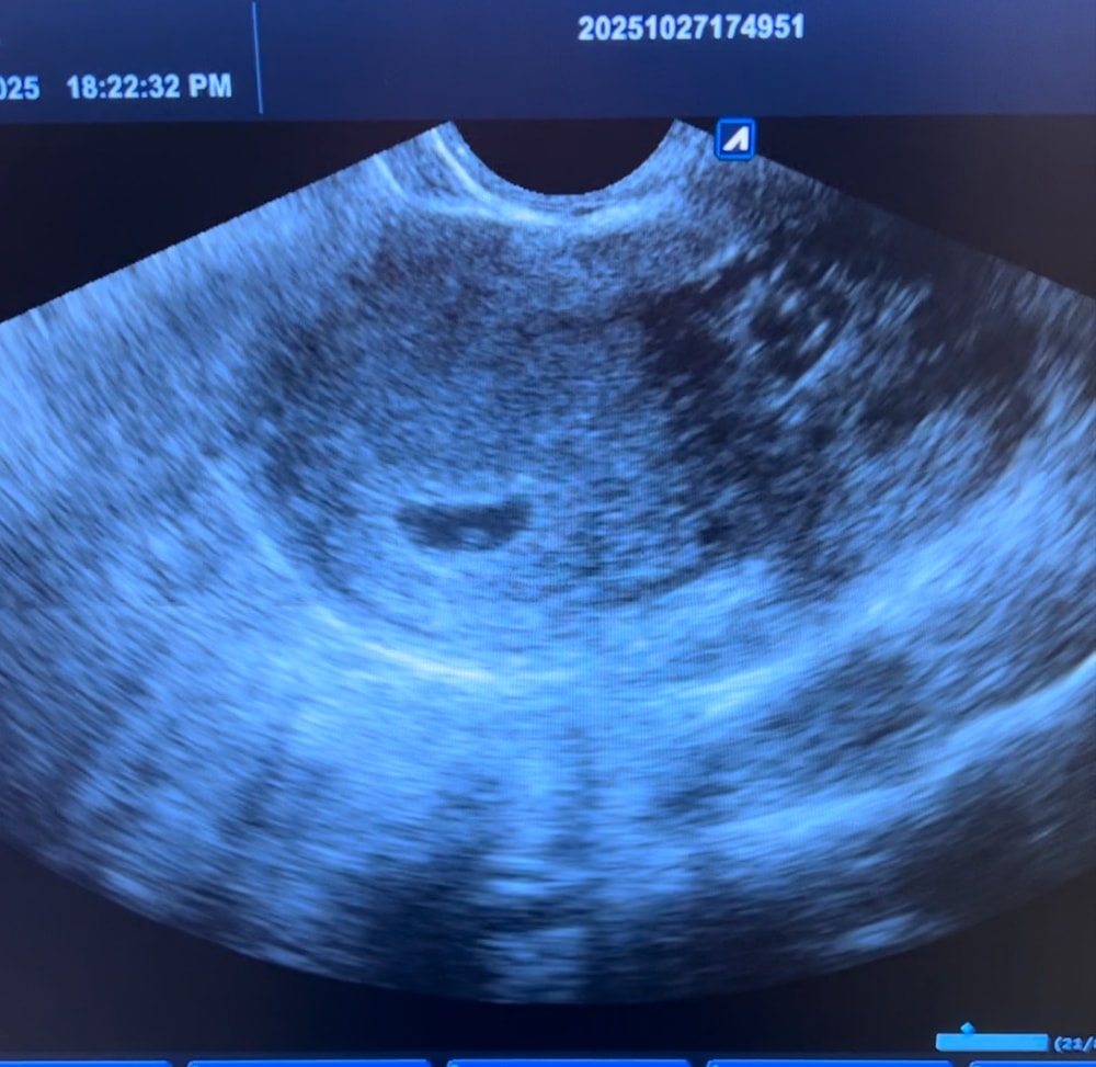
Как минимум плодное яйцо и желточный мешочек ) но статичному кадру плохо понятно, но если в динамике может уже мерцание сердечка было ? У эмбриончика . Тут не совсем хорошее качество узи)
29.10.2025
Ответить
Виктория Рыгина
Череппааашка по имени Натааашка , увидели пульсацию как мне сказали это был желточный мешочек, аппарат узи был достаточно старый, качество изображения не очень хорошее
29.10.2025
Ответить
Череппааашка по имени Натааашка
Виктория Рыгина, ну пульсация только у эмбриона может быть ) у мешочка никак нет 😅эмбрион обычно сливается с контурами жм на ранних сроках и если аппарат плохой тяжело увидеть эти 0,5 мм . Через неделю уже точно подрастет )
31.10.2025
Ответить
Виктория Рыгина
Череппааашка по имени Натааашка , так то даже про эмбрион сказали что не понятно есть он или нет, контроль через неделю, очень переживаю
29.10.2025
Ответить

