Овуляция
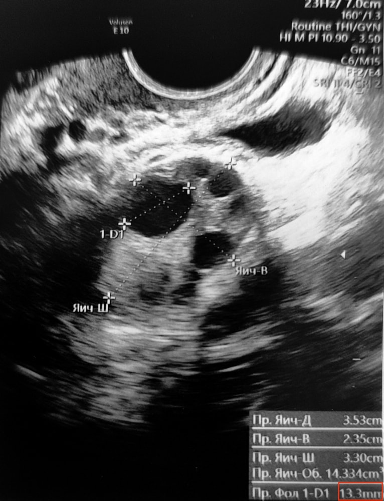
Планирование беременностиОчень неожиданно что пик ЛГ пришелся на 12 ДЦ. Потому что на 9 ДЦ на фолликулометрии Фолликул был 11-13 мм (точно не поняла, по заключению УЗИ 11мм по фото УЗИ 13мм). Я думала дню к 15 дорастет и тест вчера вечером был такой бледный. Получается примерно завтра будет овуляция, а ПА был вчера вечером, даже не знаю нужно как-то ещё сегодня уложиться🤔🤔 или лучше тогда завтра. Вроде каждый день тоже не полезно для сперматозоидов. Гинеколог говорила ПА раз в 2/3 дня.


Екатерина
Беременность возможно, даже очень, если нет ещё каких то припятствий для этого
19.04.2025
Ответить
Наталья
Екатерина , к сожалению у нас просто так не получается, хотя все обследованы от и до.. ну будем стараться
19.04.2025
Ответить
Екатерина
Наталья, ну вы спросили как с овуляцией и когда па заниматься. Вот мы и с вами анализируем, если все ок по трубам и спермотозоидам то 2 3 дня они вполне доживут
19.04.2025
Ответить