Последняя надежда.
до_и_послеКогда все отказали, когда ребеночка мучает сильная боль, когда родители уже в отчаянии. На помощь приходят феи Зубландии.

⠀
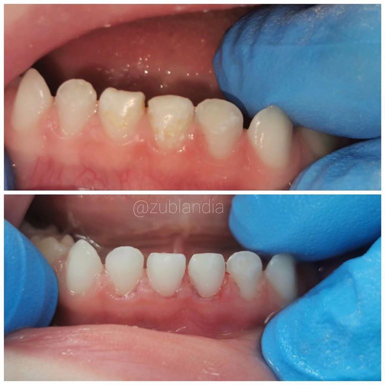
Девочке Саше 2 годика и она прилетела с мамой из Воронежа. В родном городе врачи предлагали лишь серебрение или лечение под общим наркозом.
⠀
Оба варианта родителей не устраивали, а смотреть как мучается от боли их ребенок уже не было сил. Тогда они решили срочно прилететь в Москву в нашу клинику, чтобы решить все зубные проблемы.
⠀

Девочка оказалась очень спокойная и терпеливая, нам даже не пришлось ее уговаривать. Поплакала первые 5-10 минут, поняла что тут нечего страшного нет и дальше сидела спокойно.
⠀

Спасала зубки Склярова Инна Игоревна. Всего вылечили 9 зубов. Жевательные и передние, из них оказалось 4 пульпита, на остальных был только кариес.
⠀
--------------
👉🏻 Чтобы записаться на приём
☎️8 915 255-60-10 Подольск
☎️ 8 916 475-60-60 Москва
📲 или пишите в WhatsApp
⠀
👉🏻Работаем БЕЗ ВЫХОДНЫХ
🕛С 9:00-20:00