Лечение Евы
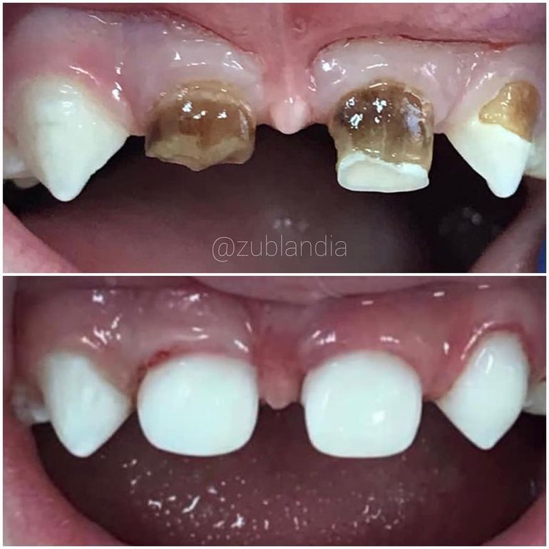
до_и_послеНедавно нашему врачу-стоматологу Солодовой Светлане Владимировне встретился уникальный случай. Лечили девочку Еву 3-х лет, которую мама привезла к нам из Рязани.

⠀
❗️На снимке было видно, что боковые резцы - двойки, не заложились. Но тем не менее, после реставрации улыбка малышки стала выглядеть гармонично и красиво.

⠀
👉Кроме того были вылечены пульпиты (63, 61), периодонтит (51) и кариес (53). Вся работа была проведена за три приема, которые прошли очень гладко. В первый раз Ева просто спала в кресле, на снимок ее относили на руках. Второй прием слегка капризничала, но быстро успокаивалась, а в третий раз малышка просто тихонько смотрела сказки.
⠀
Не забывайте, что наши врачи - настоящие волшебники. Они справляются с любыми случаями, даже если кажется, что все безнадежно. Самые сложные зубки удается спасти и вернуть пациенту здоровую, счастливую улыбку.
⠀ ⠀ ⠀
⠀
___________________________
👉🏻 Чтобы записаться на приём
☎️8 915 255-60-10 Подольск
☎️ 8 916 475-60-60 Москва
📲 или пишите в WhatsApp
⠀
👉🏻Работаем БЕЗ ВЫХОДНЫХ