Пропажа нашлась :)
ОжиданиеДавно я не писала сюда!
Как вышла в декрет, совсем не до компьютера стало. А с телефона писать на бебиблог не получается!
Перед декретом взяла две недели отпуска, так что с 28 недель уже "отдыхаю". Хотя работа не отпускает... Сначала пришлось сутки переписывать свои рабочие файлы, поэтому два раза на работу приезжала :) А потом в конце августа начальник попросил кое-что сделать, ну конечно за отдельную плату. Но я-то думала, это все быстро сделаю, но все затянулось...
И я заболела. Думаю потому и заболела :) Давно я о декрете мечтала! Для меня не понятно, как можно дома скучать :) Поэтому когда организм узнал, что ему снова предстоит работать, начал сбоить. Иммунитет упал и я простудилась, хотя еще не холодно было.
Первые полторы недели болезни вообще жутко было - из-за кашля спать не могла и все боялась, что наврежу ребенку таким кашлем... Потом приспособилась спать сидя - так хоть кашель не душил. Лечилась чем только могла. Собрала все народные методы. И пришлось биопароксом брызгать, он хоть и местный, но антибиотик... Не хотелось, но пришлось... Иначе боялась, что вообще воспаление легких начнется.
Думала, это никогда не закончится. Каждый день что-то пьешь, полоскаешь, дышишь, а эффекта никакого... еще и коньюктевит начался! Тоже почти неделю глаза гноились... Но потом все же стало чуть получше и я даже смогла целых 6 часов ночью поспать... Все эти две недели температура была 37,2-37,5. Третью неделю держалась 37,2, но стало лучше - болело только горло. Но становилось лучше. Сейчас практически здорова, температуры нет, но стоит выйти на улицу, горло снова схватывает... Все еще вокруг чихают и кашляют... Хоть вообще на улицу не выходи!
А надо еще столько купить и сделать...
Во время болезни все же умудрилась съездить к врачу на узи в 32 недели.
Оказалось, мы на недельку по размера отстаем. Что не удивительно - видимо из-за болезни ребеночек не рос...
Такие у нас параметры были в 32 недели и 3 дня:
Сердцебиение 142
БПР 83
ЛЗР 103
Диаметр живота - 80
Длина локтевой кости - 47
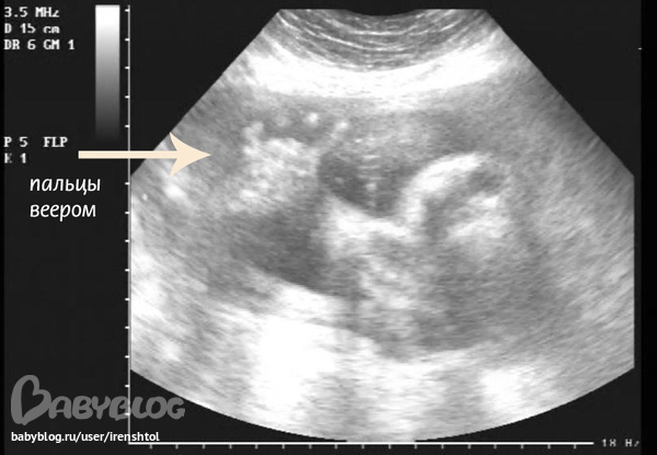
Записали видео, но малышок уже большой и видно только отдельные части тела ) Вырезала стоп-кадр :)
Вот такая у нас "задняя" лапка с пальчиками :)) мизинчик прижат, так мило :)
