Половой бугорок, мальчик или девочка !🤍 напишите в комментариях почему проголосовали так

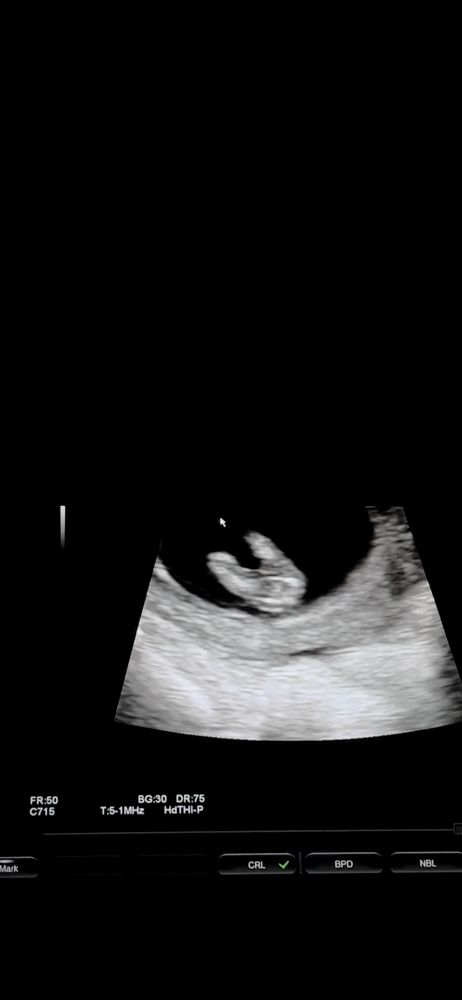
Всем привет 🤍 сегодня была на узи! 12,5недель, у меня есть 3 сына! ждём 4 малыша! Который 4,5 года к нам не приходил! сегодня снимала видео со скрининга, и думаю может можно что-то разглядеть?)) прилагаю скрины с видео , вид с боку и снизу 🤍 Благодарю за участия
Лучший ответ
Катастрофа
Мне кажется все тыкают что бы посмотреть результат 😆
07.02.2023
Ответить
Jelena Daskevica
Людмила, в этот раз хочется фруктов , чего-то свежего. С мальчиковом помидоры, капуста квашенная! Со всеми детьми меня мутило , поташнивало, сейчас точно так же нет аппетита, мясо, рыбу не могу есть.В принципе пока Беременности мало чем отличаются )))
07.02.2023
Ответить
Булочка
Jelena Daskevica, у меня и у моих знакомых у кого родились девочки мутило от запаха мяса особенно когда готовится и очень хотелось фруктов. . . В первом триместре ,а во втором без мяса не могла прям 🤤
А по узи я не понимаю .😅 У нас доня показалась только в 36 недель 🙃
08.02.2023
Ответить
Nina
Так интересно услышать тех, кто проголосовал за мальчика? 😊
Половой бугорок видно хорошо, он "торчит" практически параллельно телу, это же девчуля🥰
07.02.2023
Ответить
Тат'яна
Похоже на девочку. Процентов на 80, как любят говорить врачи. Если на фото половой бугорок, то он параллельно позвоночнику
07.02.2023
Ответить