1 скрининг! 😍🌸
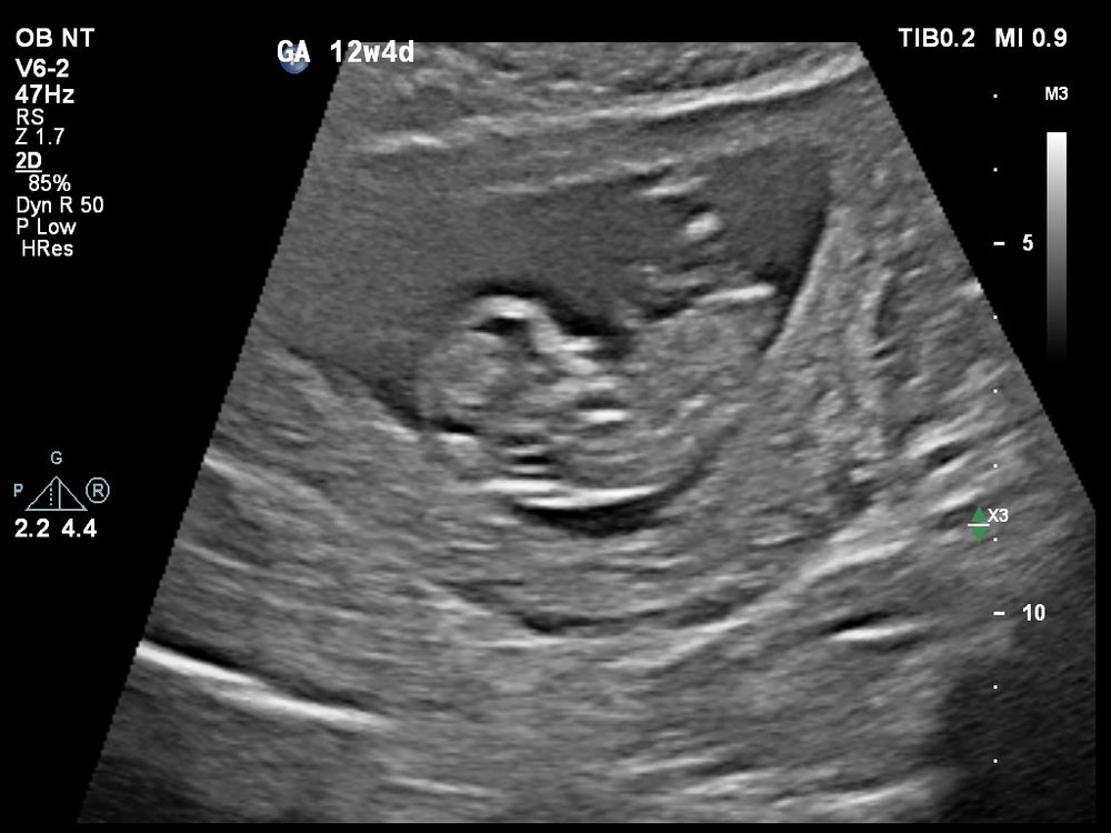
Сегодня сходили с молодым человеком на свидание с лялей 😊 Все у неё/него хорошо, показал(а) нам как плавает, ножки задирает (1 фото). Во время УЗИ мне показалось, что половой бугорок прямо смотрит, надеялась, что на видео/фотографиях все отмечено, а что-то как-то нет, наверное, не в настроении на фотографии был(а) 😀😅
Но ничего, нам не важно какого пола, главное, чтобы здоров(а)😊🌸
Переживала всё ли в порядке и лялички, а в итоге оказалось, что это я с пониженным гемоглобином и риском преэкслампсии 1:88 😅
По первым УЗИ (и по овуляции) сегодня срок 12+1, а по скринингу срок 12+5 (6.2см)😅
Лучший ответ
Masha
У меня был низкий Hb. Методом тыка подбирали с врачом какое железо подойдет. В итоге подошел витафер, очень хорошо поднял уровень железа и ферритина
30.07.2024
Ответить
Кристина
Masha, У нас в Эстонии другие фирмы, мы пообщались с врачом сколько лучше принимать и какие (с крапивой 🤨), вот с сегодняшнего дня начала.. теперь посмотрим как изменится при следующей сдаче анализов🙂
Еще назначили аспирин пить по 150 до 36 недели, чтобы снизить риски преэклампсии 😅
30.07.2024
Ответить
Просто Катя
Какая милота, фото удивительные!
У меня сын вечно сворачивался..)))😆😄
29.07.2024
Ответить
Кристина
Просто Катя, Я в смешанных чувствах со своими ощущениями, то чувствую, что мальчуган, то в какой-то момент уверенность, что девчонка 🫠😀
29.07.2024
Ответить
Просто Катя
Кристина, мне в 12 недель уже врач смог пол сказать, и попал точно)))💯
29.07.2024
Ответить
Кристина
Просто Катя, У нас не говорят пол на раннем сроке, я даже не знаю, знают ли эстонцы про половые бугорки, тут все настолько спокойные, что могут спокойно дотерпеть до второго скрининга😅
А про тест на пол ребенка вычитала, что Эстония это не поддерживает, якобы тогда люди начинают делать аборты по причине, что не хотели ребенка того пола, который у них получился ☹️
30.07.2024
Ответить
Просто Катя
Кристина, ну у нас в стране запрещено делать тесты на пол.)
И да, по причине абортов на фоне пола малыша.)
30.07.2024
Ответить