ну вот,решилась и я написать нашу историю.
Вроде нас нашли.радоваться пока рано.завтра сдам ещё хгч.есть гематомка в матке.гинеколог сказала рассосётся.утрик оставить 600.магний тоже.не знаю почему новрач подозревает двойню.хотя я в это не верю.да и мне не желательно:с пролапсом тяжело носить будет.ну и наше фото.на приём нелели через 2 сказала и звонить если что 
никуда не исчезли мои родимые,мои долгожданные.утром еле выдавила из себя(не на первую порцию).убедилась что на месте обе и поехала сдала кровь.результат через 4 часа.пойду борщ варить,чтоб мысли отогнать.всё время боюсь что как хлынет,дурная моя голова.сумбур полный.дозвонилась в госпиталь где буду вести Б и рожать.запись аж на 21-е.пойду к своей Г после результатов анализов на след недели,посмотрим нашего малышонка.до сих пор переживаю чтo была рядом с сыном когда КТ делали,но тогда я и нe знала что могу быть Б. 
я в шоке.Малыш,я тебя хочу!!!!!!
Шёл двадцать
затаив дыхание,жду обеда чтоб сделать тест на О.боже хоть бы она наконец то.а график то какой,правильный вроде,что скажите?
в "графиках " выкладывала,не ответил никто.
кто понимает ,скажите нормальная 1 фаза,эстрадиол на 3 дц был ниже нормы.пью шалфей сейчас.
колокольный перезвон,в руках лампада,на руках сыночек,моё золотце.дочка на руках у папы.спасибо тебе,Господи за моих деток.спасибо за моих близких,которые пережили в АТО весь этот кошмар и остались целы,не потеряли свои дома.спасибо за это счастье.
спасибо что каждый день на столе у нас есть хлеб и мир в нашей семье.
спасибо.
если ты будешь благосклонен к нам,мы очень будем рады ещё одному малышу.а если нет-то будет довольствоваться тем счастьем что у нас уже есть.
так я разговаривала под колокольный звон с Небесами.искренне.это была волшебная ночь!
Христос Воскрес!
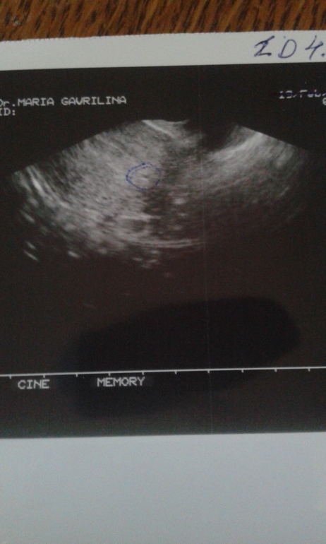
мои родненькие,вы поймёте и поддержите.может кто то проходил уже через всё это.итак ,помните мой тест в воскресенье? большинство поздравляли,но кое кто упорно мне доказывал что это реагент.в понедельник начались М,немного странны.коричневые,но по объёму обычные.и меня терзали тянущие боли в области ПЯ.хгч в понедельник был 0.678 мл,то есть отрицательный.сегодня поехала к Г взять лекарство ,которое она мне привезла из Бельгии.попросила её глянуть меня на узи,по поводу болей.вот снимок смотрите сами.(ниже).матка увеличена,эндометрий беременный,яичники пустые(никаких фоликулов к след циклу не зреет).повторный анализ на хгч отриц.в матке скопление крови.колем окситоцин 5 дней по ампуле,потом контроль узи,если ничего не поможет,то чистка.боже,что случилось то.почему?
девчата,назначила мне моя Г этот препарат вместе с Инофолик.у нас нет его на острове,привезла мне и Бельгии.как думаете стоит пить? вроде почитала что ничего страшного,вроде пищевая добавка для лиц старше 30, способствует выработке эстрогена,и тд...
недешёвое(40 евро вроде).я готова пить что угодно,врач проверенный,лишнего не назначает.
