Гипоэхогенное образование
УзиВсем привет.
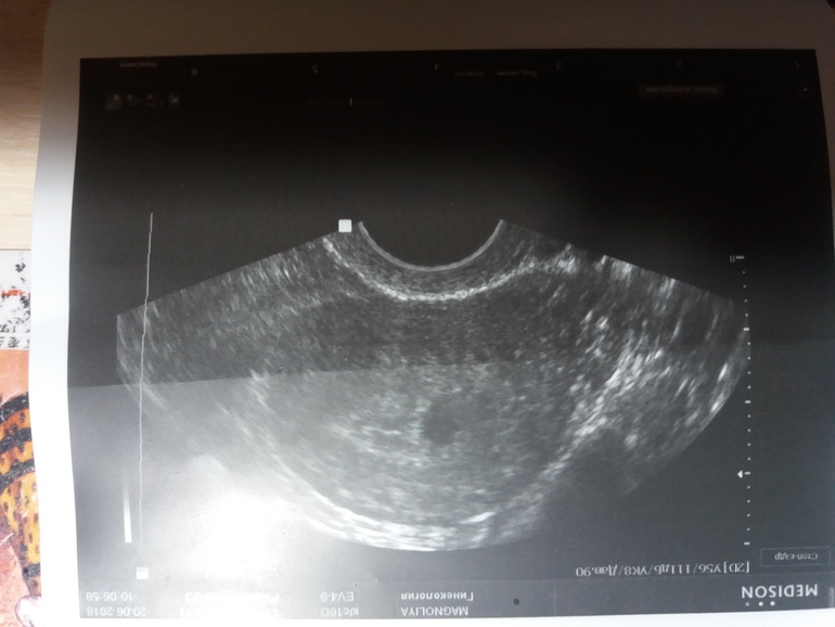
Такой вопрос. Была на узи малого таза ( направила эндокринолог исключить СПКЯ) там все Хорошо, но есть гипоэхогенное образование 9.1 мм.
Для беременности вроде много. Дни через 3 суток. Но все же, у меня есть несколько изменений которых никогда не было. Последние два дня хочется пить, не ужасно, но ощутимо к вечеру проходит. И то чего никогда не было. Ночью, точнее рано утром часа в 4 или 3 встаю в туалет. На ночь не напиваюсь. И длится это уже дней десять. Сначала через день было. И вот. Последние дня 3-4. С сахаром все норм. Незнаю что думать. Да И не Помню был ли у нас секс 😁 в этом цикле. Месяц был очень насыщенный, как то не заметили.
Беременность не жду. Признаки не выискиваю. Как раз сейчас больше переживаю просто за здоровье и естественно проезда в интернет про это образование. А там и это киста и это рак, иногда беременность, а могут быть близнецы раз крупное и тд. Плюс сомнение подогревает тоо факт что с мужем почти 5 лет не могла забеременеть. И конечно наткнулась на истории о том как после долг х лет проб появляются близнецы. Короче много букав, сорян)
И оставдб снимки тут 
ЯзыкУлитки
Это не беременность. Полость матки не расширена, видна средняя линия смыкания листов эндометрия. Это пристеночное образование либо субсерозная миома, либо полип. Скорее всего, первое
23.06.2018
Ответить
Anna Green
Она сказала что врядли полип, Тип о он по другому смотрится. Спасибо за ответ!
23.06.2018
Ответить
Анастасия
Если сомневаетесь, то сделайте тест. И если это Б, то она, явно, не в этом цикле состоялась. А ЖТ на УЗИ есть?
23.06.2018
Ответить