Ой все девочки..(((

6,51/3,78 = 1,72Расшифровка:Обычно данные гормоны определяют с 3 по 8 дни менструального цикла. И в этот период правильное соотношение гормонов ФСГ и ЛГ составляет от 1,5 до 2. А вот в начале фолликулярной фазы (до третьего дня цикла) соотношение ЛГ ФСГ будет меньше 1, что необходимо для нормального созревания фолликула.Соотношение ЛГ и ФСГ равное 1 допустимо в детском возрасте. Коэффициент соотношения уровня ЛГ и ФСГ 2,5 и более является признаком следующих заболеваний:патология яичников (синдром поликистозных яичников или истощение яичников); опухоли гипофиза.http://womanadvice.ru/lg-i-fsg-sootnoshenieКороче не паникуй!
19.01.2015
Ох спсибо) Выходит что врач была права что с пролактином они тож связанны).. Все трое гипофизом выробатываются!! super_smilies082.gif хотя у меня и так все норм как я поняла))) А я все думала думала кака вы это считаете, понялаааа)
19.01.2015
в норму от 1,5 до 2 ты укладываешься)))не за что)надеюсь, врач тоже тебя ободрит))))
19.01.2015
мне просто несколько раз по узи СПКЯ предпологали, вот я и напугалась. У меня яичники увеличены бывают от кист фолликулярных, до всей этой эпопеи (до прошлой зимы) Яичники были здоровыми нормальными, а потом как полезли фол-кисты (конечно не каждый раз, но все же) так яичники стали постоянно менять свой размер, но благо уменьшаться они не забывают))))
19.01.2015
мне раньше тоже все время ПКЯ ставили по УЗИ. а в последнее время (точнее начиная с августа) как-то все куда-то исчезло. тьфу-тьфу-тьфу. не знаю почему.
19.01.2015
Организм чудная штука)))))))))))))) super_smilies086.gif
19.01.2015
У вас не сильно повышенно, скорее мультифолликулярные яичники у вас!это не так страшно !!!
17.01.2015
вы меня успокаиваете. Но повышение почти в два раза((( У меня фолликул растет , но не лопает, врач говорит из-за повышенного пролактина
17.01.2015
И сильно у вас пролактин повышен?
17.01.2015
нет. 780 при норме 557, до этого был 580
17.01.2015
Вы в динамике сдавали? Его надо сдать несколько раз, тк это очень капризный гормон. Я 2 раза сдавала в начале цикла и в конце. В начале было 700 с копейками, в конце 1000 с копейками. Сдавала по правилам. Врач сказала, что если б он и во второй фазе был 700 с копейками, то она б не стала мне назначать достинекс. Тк во второй фазе он всегда повышен и в принципе 700 - это не сильно много. Но было больше 1000, поэтому и назначили.
17.01.2015
в динамике и по паравилам, три цикла, но только в начале цикла, в конце врач не говорила что надо. 1 месяц 585 9перед анализом ехала два часа на маршрутке до города, т.к была у родителей) , второй 578 (сдавала выспаной, спокойной и т.д т.п), 780 -этот цикл (сдавала выпасной, но не берусь утверждать что спокойной). Ни ПА ни кофе ни сладкого не было за сутки до сдачи. У меня молозиво и мастопатия, потому появились подозрения на пролактин, я еще далеко до здачи анализа предпологала его повышение. норма 557
17.01.2015
Кстати, я как-то бюстики свои проверять начала и изнутри чашечки, где соски обнаружила точечки желтоватые, я сначала не поняла, что это. А потом врач подтвердил, что это выделения могли быть из-за пролактина.
17.01.2015
а я в том году вышла из ванной, начала вытераться и надавила как то на сосок и капелька прозрачная вышла из него.... Ну я ж не угомонная))) Давай себя "доить"  big_smiles_162.gif и паниковать)))) Пошла к Г, та отправила к маммологу, сделала узи Молочных желез, нашли три кисты и ррасширенные млечные протоки... Пошла к Маммологу, написал мастопатия, про вопрос о гормонах, отозвался негативно, утверждая что дело не в них, с этом пошла к Г и та вывезла что гормоны не при чем и вот потом я не выдержала и сдала сама все гормоны и вот, потопала к эндокринологу и он сказал что надо было сразу сдавать, мастопатия косвенный признак повышенного пролактина!
17.01.2015
Воооо! Мне еще лет в 19 поставили фиброзно -кистозную мастопатию, она постоянно подтверждалась. И да, сейчас когда я обратилась с пролактином, мне тоже самое сказали, что это косвенный признак.
17.01.2015
Вот интересно о чем думали те врачи, которые ставили диагноз и считали что гормоны тут не при чем...
17.01.2015
Спасибо за информацию. У меня тоже повышенный пролактин был. А потом опять снизился, но до 524. Гинеколог — эндокринолог сказала, что это нормально и ничего не прописала. На УЗИ персистенция доминирующего фолликула. А гинеколог на это не обратила внимания. Но забеременеть не могу уже 1.5 года — это факт. Выделения из сосков увидела  гдето в 21 год. Ходила к маммологу — мастопатия. Прописала аевит. Может пролактин и раньше был повышен, но мне его никто не рекомендовал сдавать. С первым очень быстро залетела. А сейчас нет. А потомходила к эндокринологу и она направила на МРТ с контрастным веществом. Говорит что может быть опухоль гипофиза. Но я не пошла. Лишний раз облучаться контрастным веществом. Так что и такое может быть. 
21.01.2015
сдайте пролактин 3ри цикла подряд в один и тот же ДЦ, два анализа разные считются спорными, да 500 считается все равно не мало, лучше конечно на 300единицах его держать, вам конечно помог бы мастодинон понизить ( т.к у вас и повышения по последнему анализу нет)  У меня сейчас овуляция, впервые за долгое время я ее чувствую, происходит она на 14-15 д.ц (сегодня-завтра) Думаю что раньше у меня ее не было вообще. Появилась на минимальной дозировке достинекса
21.01.2015
А в какие дни его сдавать? Я тоже не могу сказать есть О у меня или нет. ЯБ есть, постоянно колит правый яичник, но там гидатида. Тесты не каждый месяц показывают О. Да и не факт, что при положит. тестах может быть овуляция. Но на 15 день цикла персистенция, т.е. фолликулярная киста. Может фолликул и вовсе никогда не лопался. Но тогда был бы СПКЯ. А у меня единичный фолликул. Весь прошлый год по врачам бегала, только лишних диагнозов понабрала. А в гинек. отделении смеются надо мной, больше говорит по платным ходи, они тебе еще и не то найдут)))
22.01.2015
у меня так же уходят в кисту. Сдавать нужно с 3-5 день цикла, ни какого Секса и спорта за сутки, не пить и не есть ни чего какао и кофе содержащего и ограничить сладкое за сутки. Сдавать не ранее чем через час и не позже чем через четыре часа сна. Удачи) super_smilies086.gif
22.01.2015
Спасибо большое! Прочитала про мастодинон вроде нормального состава капли. Ладно посмотрим на каком уровне пролактин. super_smilies082.gif
22.01.2015
а Мастодинон не пробовали?
17.01.2015
а зачем? У меня грудь не болит. А мастодинон к тому же незначительно корректирует фон пролактина, возможно я его и попрошу у врача, но только когда мой пролактин придет в норму , попрошу чисто для поддержки. Грудь придет в норму, как только пролактин упадет. К тому же я Отлично переношу Агалатес, у меня уже после первой дозы грудь спала и пропали выделения, чему я безмерно рада. Не хочу терять время на то что скорее всего не справится с основной причиной, пролактином(((
17.01.2015
я читала, что он тоже хорошо снижает пролактин.
18.01.2015
Обычно его назначяют для не большой корректировки, например кода он на вехнеи границе н надо его внорму середину привести. Крайне редко он снижает тем у кого выше нормы. А еще на нём Б нельзя вроде как, ана дстинексе врачи ужеразрешили Б)
18.01.2015
ясно, спасибо за разъяснение. я на др. сайтах читала, на мастодиноне многие забеременели девчонки.
18.01.2015
Не буду отрицать что забеременели))) Рада за тех кому помог) кто то умудряется овулировать при пролактине в 2000 тысячи, вот этот факт меня удивляет очень, тож на форуме прочитала.... super_smilies001.gif
18.01.2015
Посмотрела сейчас свои результаты ЛГ 6,03 ФСГ 4,13. Пролактин повышен (я его лечила как раз). И никто никогда мне диагнозов не ставил. Так что прекратите себя накручивать. Вам назначат пролактинопонижающее (у меня достинекс был). Мне достинекс не сильно подошел, но на его отмене я забеременела))) Так что удачи и Апчхи на вас!))
17.01.2015
мы с вами уже где то не так давно переписывались по поводу пролактина. Я уже пью агалатес (полный аналог достинекса)Это не у вас упал пролактин ниже плинтуса от достинекса? (извените если путаю)
17.01.2015
Я-то)) все правильно помните!))
17.01.2015
Слава богу что есть люди с подобными показателями и уже беременны)))  super_smilies086.gif
17.01.2015
Воооот, поэтому и говорю вы пока не переживайте, смотрите, что даст лечение
17.01.2015
спасибо за настрой super_smilies086.gif
17.01.2015
Держу за вас кулачки! Очень уж история у нас похожая) Надо будет в категорию успешного зачатия что ли написать))) рассказать как было у нас))
17.01.2015
Давайте Дружить)) super_smilies086.gifНапишите обязательно)))))  Буду читать и радоваться))) 
17.01.2015
мфя смне много раз ставили но только при узи на 5 д.ц, на 14 уже ни кто и не упоминал про такой диагноз(
17.01.2015
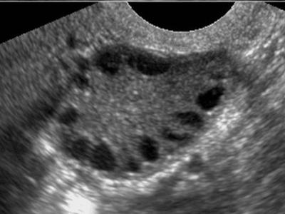
на узи как выглядят яичники? так: c855b1c22d11933eef4a39ab8b6d0a4a.png или так:e1f8a0c37cc200bbe12c0b005188f195.gif первое МФЯ, второе ПКЯ.
19.01.2015
как первое) Но так только на 7 д.ц, а на 15 там уже только доминантный и несколько мелких
19.01.2015
значит не ПКЯ. при ПКЯ, как видно на картинке, фолликулы располагаются по краям в виде ожерелья. у меня так было.так что у тебя все нормально, МФЯ не страшно.пролактином занимайся))
19.01.2015
c25b5dc8d7c6e35941fbc7608fb5e0b3.jpg это раз(7д.ц)Это так просто киста такая у меня была в июле августе  c5fd9b00e5bd462897a92eeb2ce550c5.jpg И вот еще одно , только какой д.ц не помнб df4cdada32cde82e71c834fbc5aa8feb.jpg b5aa9c77c183f1c9c3b55e476fc7696d.jpg
19.01.2015
я не вижу у тебя ожерелья. да и при ПКЯ доминантный фоллик обычно отсутствует. у меня по крайней мере вообще он не созревал ни разу.
19.01.2015
фига себе))) А сейчас все исчезло и зреет?)))))))))))) Ни чем не лечилась даже???? Вот чудеса super_smilies001.gif Ух , ты меня обрадовала)) 
19.01.2015
сама не знаю, как так вышла. мы начали планировать и мне везде ставили ПКЯ. в июле посетила частную клинику, где мне сказали, что мне надо искать эндокринолога и что с моими яичниками ни один гинеколог не возьмется стимулировать у меня овуляцию.я расстроилась до жути.а в августе я нашла другого врача, который в общем-то, тоже не эндокринолог. и на УЗИ он опроверг все мои страхи и все предыдущие диагнозы. так что как-то так, в один цикл все изменилось. надеюсь, что ПКЯ не вернется.
19.01.2015
Фига себе ))) вот это чудо)))
19.01.2015
хотя хз, немного смахивает на это чертово ажирелие у меня
19.01.2015
Все плохо... Переживаю...