жду мальчика, 7 неделя
Тольятти
Есть ли смысл делать узи?
Завтра 17 дпо и 6дз. Хотела пойти на узи 16.12, а вот получилось раньше. Как думаете малыша уже видно? Узи сделать очень хочется, но не хочу лишний раз облучать малыша
Мама двоих (17 лет, 9 лет)
Москва
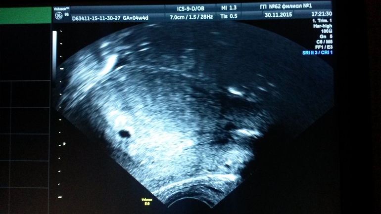
Ксюш, можешь сходить, вреда от узи нет, я как врач говорю. Это только звук. Сделают внутр Доплер (презик на узи не забудь). Определят плодное яичко, маточную и успокоишься, будешь растить. Я Горошика пошла смотреть в 4 нед и 4 дня, определили ПЯ, Б мат и точечку 2 мм, это был Горошик. Все, теперь в 7 нед идем показываться и прослушиваться. Сделаем фото на память, обязательно.
Вот мы в 4 нед
0
10.12.2015
Ответить
Мама двоих (17 лет, 9 лет)
Москва
Самой не верится! А завтра еще одна будет)))))) 7я неделька пошла))))
0
11.12.2015
Ответить
Мама двоих (9 лет, 5 лет)
Тольятти
Лен, у меня узи в среду еще одно, и я записана еще на 21. Если вдруг в среду не увидят, то если я пойду 21 это не дофига ли узи? Точно без вредно?
0
14.12.2015
Ответить
Мама двоих (17 лет, 9 лет)
Москва
А в чем вред? В звуке? Странно.... Я со старшей ходила почти каждую неделю по показаниям... Ничего, вон, математический гений моется! 3Д, я бы не пошла. А обычное. Самое лучшее узи, это Доплер, влагалищный! Вот все увидят. А сколько неделек у тебя?
0
14.12.2015
Ответить
Мама двоих (9 лет, 5 лет)
Тольятти
А что такое доплер? Получается 9дз, и 20 дпо
0
14.12.2015
Ответить
Мама двоих (17 лет, 9 лет)
Москва
Доплер, это узи через влагалище. Кстати, возьми презик, без него не сделают. А 1 день месяков когда?
0
14.12.2015
Ответить
Мама двоих (9 лет, 5 лет)
Тольятти
08.11 были последние, а эти должны были придти 06.12. Мне значит доплером делают.
0
14.12.2015
Ответить
Мама двоих (9 лет, 7 лет)
Кировоград
Я шла на 22 ДПО для того, что бы подтвердить маточную Б и увидеть, есть ли угроза и т.д.. Была готова к тому, что малыша еще видно не будет. так и было. Было плодное яйцо 6 мм. Срок 2 нед. и 5 дн. от зачатия поставили.
Если хотите увидеть эмбрион и послушать сердечко, то точно рано. Если как я, просто убедиться в том, что все нормально, думаю, можно пойти. Хотя, срок у Вас меньше чем тот, который был у меня во время 1 УЗИ, так что гарантировать, что точно увидят ПЯ не могу.
0
10.12.2015
Ответить
Мама троих (11 лет, 10 лет, 10 лет)
Томск
Хороший узист увидит, я в первую на таком же сроке пошла, плодное увидели, сказали приходить через месяцок сердечко смотреть.
И от узи нет вреда, вы же музыку слушаете (многие очень полезным считают) и она так же отражается, как и ультразвук, просто этот можно увидеть.
0
10.12.2015
Ответить
Мама двоих (15 лет, 8 лет)
Тверь
с чего вы взяли что малыш облучается....бред какой то довоенный :)))))))))
могут увидеть уже :)))
0
10.12.2015
Ответить
Мама девочки (9 лет)
Екатеринбург
как врач узи говорю, что никакого облучения нет))) идите в 6 недель спокойно)
0
10.12.2015
Ответить
Мама мальчика (9 лет)
Новосибирск
Я ходила на 2 день задержки, увидели плодное яйцо, теперь жду 9 недель, только я все УЗИ делаю по назначению моей Г
0
10.12.2015
Ответить
Мама мальчика (14 лет)
Раменское
Чем он облучается? Ультразвуком? Я пошла ровно в 6 акушерских недель.
0
10.12.2015
Ответить
Мама троих (14 лет, 9 лет, 3 года)
Старая Купавна
Особо ничего не увидят. У меня от зачатия было 2-3 недели, было только яичко
0
10.12.2015
Ответить
Мама двоих (21 год, 11 лет), планирую беременность
Темрюк
Рано ещё. Недель в 6-7 сходите, там и сердечко увидят. А пока могут и яйцо не разглядеть
0
10.12.2015
Ответить
Мама четырех (от 6 лет до 12 лет)
Саратов
Плодное яйцо увидят, сердцебиение врятли.
0
10.12.2015
Ответить