отчет....
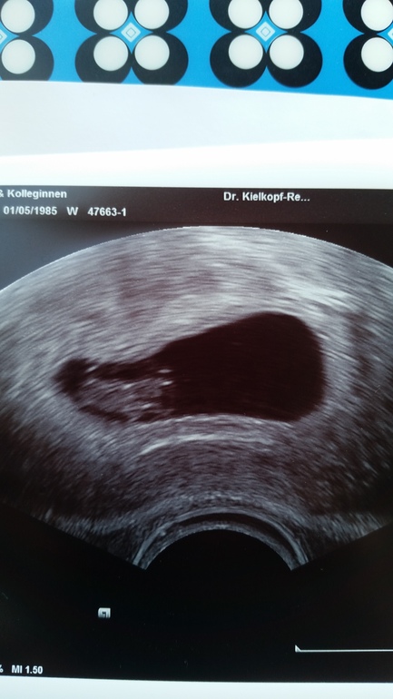
Беременность- 1 триместр ( только до 10 недель)ну вот и сходила я на узи ;) наш малышь выбрал самое удобное и безопасное место, в матке!!!! отклонений нет, сердечко стучит;) пдр поставили на 2 сентября.

и теперь я могу официально на все хочушек чихать ;)
ааааапппппччччччхххххххииииии!!!!!!!!!
желаю всем в скором времени пополнить свой семейный альбом вот такой фоточкой
Александра
Здорово поздравляю !Растите здоровенькими))!!! Ой класс,тоже хочу фоточку скорей ,и пдр и сердечко ,и всё всё всё хочу!!!
18.01.2016
Ответить
luk791
И на меня чихните)))) Желательно мальчуковым))) хотя у Вас еще не известно)) ну хоть так))
18.01.2016
Ответить
m-sapfira (@mary.sapfira)
Супер))) рада за вас) легкой Б и мягких родов! За пчих спапааасиб))
18.01.2016
Ответить
Оставшиеся комментарии доступны после регистрации
Зарегистрируйтесь и получите полный доступ ко всем функциям сайта.