Жёлтое тело?
ФолликулометрияДевочки, доброго дня! Я так редко пишу посты, но в этот раз прям очень нужна ваша помощь... Писала на днях, что беспокоят боли то справа, то слева. В пятницу было много ЯБ, тест положительный на О. Вчера все прошло, немного слева болело и все. Сегодня довольно спокойно вообще!
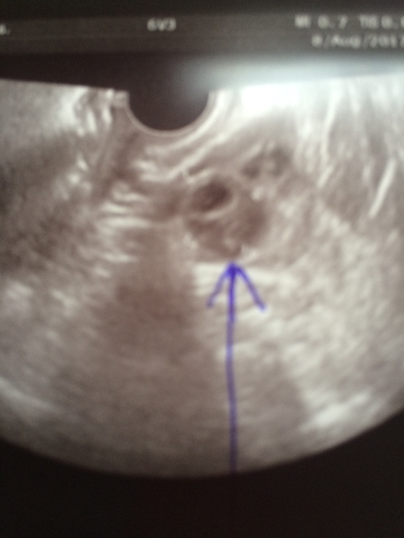
Так вот ходила на УЗИ сегодня...на 19 д.ц. мы имеем 12 мм эндометрий, левый яичник в норме, а в правом двухкамерное гипоэхогенное образование 2.1*1.8 см. Фото прилагаю. Также имеется жидкость в незначительном количестве. Так вот узистка непонятная. Сначала отправляла к гинекологу, мазки и анализы сдавать, заподозрила там вообще гной(!!), но меня ничего не беспокоит, температуры нет. Потом уже на мой вопрос "а ЖТ нет??", она ответила, что это образование может быть ЖТ. Ну и как это все понимать?? Я запуталась вообще, расстроилась жуть. Это все таки киста такая? Может ли такое быть желтым телом??
