Войти
планирую беременность Санкт-Петербург

Гидросальпингс под вопросом - я в шоке

0
16
Железнодорожный
Добавлю свои 5 копеечек, только не думайте что мы тут знатоки) В общем у меня в прошлом цикле тоже был гидросальпикс, узи делала в МОНИАГ у заведующей отделения. Она меня оч.долго крутила и надавливала, комментируя своей коллеге, что видит - в итоге ставит гидрос и говорит что с ним не возможна ни ЕБ, ни ЭКО. Далее Ре гворит однозначно лапара - готовьте деньги. А еще через 10 дней я узнаю что беременна! При том, что все эти 10 дней я жила в стрессе. Через месяц, когда я была у того же УЗИста (доктора наук на минуточку) она сказала у вас крохотная параовариальная киста. Вывод такой - сделайте узи в нескольких местах, ни слова не говоря про ваши опасения. Девочки правы, есть гидрос или нет подвтердит только лапара.
0
26.03.2018
Мама мальчика (5 лет) Санкт-Петербург
Большое спасибо! Пойду ещё на УЗИ ! Вы меня успокоили )
0
26.03.2018
Железнодорожный
Да я сама извелась с этим гидросом, поверила врачам наслово! Говорю же в таком стрессе пребывала, что первые признаки Б упорно не хотела замечать, пока мне не сказали у вас плодное яйцо в матке. И замечу, никто из этих же врачей не сказали, а как такое возможно, если у меня гидрос? Косячнули и промолчали.
0
26.03.2018
Мама двоих (8 лет, 7 лет), планирую беременность Орел
Ну вот меня на лапару положили за 4 дня до задержки, тоже смотрели в двух местах , в одном зав отделением узи ,тоже толпой и тут же и подняли на ларару типо точно вб (тесты полосатые, хгч 180 )...наркоз лапара вся фигня, проснулась оказалось ничего не нашли ,труба расширена, ну такая она у меня видимо и есть. Сказали ждите если мес не придут то наверно беременность маточная, ну или все таки будет вннматочная ..вот и тоже ещё несколько дней та провела , ждала где же и как будет беременность дней пять стресса и ожидания ,в итоге оказалась нормальная обычная беременность, выносила и родила ! С меня правда наоборот ни копейки не взяли, за свой косяк видимо, а с вас наверно хотели получить за лапару!
0
26.03.2018
Железнодорожный
Я живу в московской области, и нас направляют в МОНИАГ, он берет женщин со всей области, потому там очередь на 6 мес.вперед! Хотите быстрее - платите(( А я естественно была готовы влазить в долги, лишь бы быстрее разобраться с этой кистой.
0
26.03.2018
Мама мальчика (5 лет) Санкт-Петербург
Обалдеть !!!
0
26.03.2018
Мама девочки (7 лет) Алма-Ата (Алматы)
Тихо)) успокойтесь, мне два года лечили медикаментозно двусторонний гидросальпинкс 🙈😂 самой смешно какая была дурочка. (Находил всегда один и тот же узист, а другие нет) Итог: пошла на нормальное УЗИ к крутому ре, у меня варикоз, который давал эхо и жидкость на фоне эндометриоза. Идите туда где хороший аппарат и ре сама делает УЗИ, если у вас там образование будет видно по фибриям. Это страшный диагноз, и его надо несколько раз перепроверить. Не бойтесь, мы с вами)
0
25.03.2018
Мама мальчика (5 лет) Санкт-Петербург
Большое вам спасибо за ответ! А идти прямо сейчас или после месячных (как сказала эта гинеколог)?
0
26.03.2018
Мама девочки (7 лет) Алма-Ата (Алматы)
Идите к другому и после месячных) все будет хорошо, не бойтесь.
0
26.03.2018
Мама мальчика (5 лет) Санкт-Петербург
Я с перепугу вчера уже сходила к другому узисту на другой аппарат.. он сказал то же самое, что и предыдущий .. теперь пойду после месячных. Спасибо за поддержку 🌹
0
27.03.2018
Мама девочки (7 лет) Алма-Ата (Алматы)
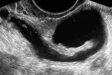
Все зависит от УЗИ аппарата. Где я ходила фибрии видно было, при гидросе там кишка и вы бы на экране ее увидели. Вот пример с инета, на хорошем узи сделан, трубу видно и сразу понятно, что есть что. Если у вас ни такой снимок, то диагноз еще рано ставить.
0
27.03.2018
Мама двоих (8 лет, 7 лет), планирую беременность Орел
1,2,3) нет ,не значит . Достоверно на 100 % скажет только лапара есть этот диагноз или нет. Мне тоже по узи постоянно докапываются до одной трубы, то вб ставят то вот это гидро. ..в итоге обе бер через эта трубу, ну такая вот труба, расширенная. Не факт конечно что у вас тоже самое ,но этот диагноз по узи не ставят тем более по одному, я просто как пример привожу. 4) опять же нет , может и не пролет, после родов сына через 2 мес на узи тоже к этой трубе в очередной раз пристали, и написали под подозрением вот этот гидро или серозоцелле ,я так и не разобралась что это ,через два месяца случайно забеременнела ,через этот трубу
0
25.03.2018
Мама мальчика (5 лет) Санкт-Петербург
Большое вам спасибо за ответ, вы меня успокоили!)
0
26.03.2018
Мама двоих (11 лет, 9 лет) Иваново
Мне с эндометриозом заодно гидрос удаляли . После как родила решила снова беременнеьь ,пришла на узи ,там беременность и гидрос опять и я уже так накрутила ,что с ним выносить невозможно ,что это очень для плода неблагоприятно .но все ок .удалять его вам если что
0
26.03.2018
Мама мальчика (28 лет), планирую беременность Кривой Рог
Ставили мне жидкость в трубе(на минуточку её там нет после ВБ)Только с третьего раза у другого специалиста поставили более-менее достоверный дивгноз-серозоцелле...
0
25.03.2018
Мама мальчика (5 лет) Санкт-Петербург
Я такие термины первый раз слышу. Мне уже 31, а ребёнка планирую только год. И тут бац, такая ерунда... Кажется , ухожу в депрессию(((((
0
25.03.2018
Отсутствие овуляции Половой покой после прижигания эрозии

Похожие записи