жду мальчика, 9 неделя
Киев
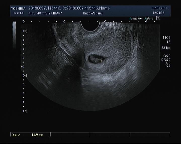
7+5. Подпольное имя Креветка
Была сегодня на узи. На данный момент все отлично. Если не считать круглосуточную тошноту и слабость.
ЧСС: 160 ударов
Эмбрион 14.9 мм. Гинеколог назвала его фасолью, но для меня он креветка.
Все развивается по сроку, но был небольшой тонус по задней стенке. Сказала, что не критично, так как я нервничаю и это вполне ожидаемо.

Сегодня последний день приема магне б6. Ура! Я таки думаю, что он значительно усиливает мой токс и делает его невыносимым.
А вот и фото креветки))

Вопрос: на первом скрининге много пробирок крови цедят? Панически боюсь сдавать кровь и для меня каждая сдача - каторга и бешенный пульс. Как пережить это?(((
Тюмень
много то много, но все через одно приспособление какое то, так что не страшно)
я завязала с магнием как токс пришел, и даже без него это мрак,так что сильно на отмену его не надейся
0
07.06.2018
Ответить
Мама двоих (7 лет, 5 лет)
Киев
Ахахаха, утешила)))
Прикол в том, что крови то я не боюсь. И мяса не боюсь. Но мои вены - это мои вены и туда уголки пихать и цедить из меня кровь - самый ужасный ужас из обследований)))
Кстати, тебя еще токсикозит?
0
07.06.2018
Ответить
Тюмень
еще как, я еще и блюю теперь 3-4 раза в день. встала на учет назначили капельницы, обещали хорошее самочувствие... ну понадеюсь. Витамины говорит пьете? я блин чай то в себя запихать не могу, какие уж там витамины
вот у меня херня какая то с венами, только супер медсестра их находит, остальные истыкают как дикообраза своими иголками пока найдут брр
вот у меня херня какая то с венами, только супер медсестра их находит, остальные истыкают как дикообраза своими иголками пока найдут брр
0
07.06.2018
Ответить
Мама двоих (7 лет, 5 лет)
Киев
Ох.
Я 2 дня подряд ближе к ночи блевала как дурная. 3 подхода по 3 повторения и вроде попустило. Щас просто круглосуточно ною, что тошнит.
Жрать не могу нормально, выворачивает от всего 😝
А с венами у меня наоборот. В нужном месте видно замечательно, но от страха обычно кровь прям лупит)))
Кстати, на счет витаминов. Мне типа можно элевит, но так как я закидываюсь фолио, то элевит мне не нужен. Ну ок. Фолио хоть маленькие, обратно не лезут 😂😂😂
0
07.06.2018
Ответить
Тюмень
Не зря 2й триместр золотым называют ой не зря!
осталось его дождаться.
элевит самая тема из всех витаминов, отпустит планирую его взять. Хотя моя гиня фемибион выписала, но я хз как на него организм реагировать будет, тут хоть проверенные витамины.
Мне скрининг назначили на 25 число, будет 13.1 но так как мы срок на неделю где то опережаем и по узи и при ручном осмотре, думаю уже все 14 будут, может пол разглядят
осталось его дождаться.
элевит самая тема из всех витаминов, отпустит планирую его взять. Хотя моя гиня фемибион выписала, но я хз как на него организм реагировать будет, тут хоть проверенные витамины.
Мне скрининг назначили на 25 число, будет 13.1 но так как мы срок на неделю где то опережаем и по узи и при ручном осмотре, думаю уже все 14 будут, может пол разглядят
0
07.06.2018
Ответить
Мама двоих (7 лет, 5 лет)
Киев
Мне на 25-27.06 нужно явиться для скрининга. Но вот я не вдуплила вообще касательно того, будут цедить кровь для скрининга только или сцедят с меня тонну пробирок на торч и тд.
По акушерскому будет 25 числа только 10.2, хоть написано, что скрининг нужно с 11.1 до 13.6 делать. Хз. Ты ж помнишь, что я хотела с айхерба витамины, но гинеколог подняла алярм и сказала «НЕФИГ!».
Мне еще пережить 10 недель нужно. В прошлый раз же беда случилась ровно в 10 недель. Короче срака)
Боюсь)
0
07.06.2018
Ответить
Тюмень
в 10 скрининг, интересненько. Ну УЗИ для спокойствия в 10 это гуд, а вот скрининг недостоверен же, и кровь рано на бета хгч, кароч странно. мне сегодня надо было прийти сдать тьму крови, на рв,вич и тд и тп. Но я болею пока так не пошла, а то найдут еще какие нить лейкоциты повышенные или еще что, и затаскают по терапевтам.
А чем ей витамины не понравились? они ж охрененные, вообще нет или в первом триместре нет?
не хотишь допплером обзавестись? ох как нервы успокаивает, приставил к пузу, услышал родной тык тык тык, и спокоен)
0
07.06.2018
Ответить
Мама двоих (7 лет, 5 лет)
Киев
Я доктора наберу на всякий случай, ибо реально странненько со сроком для скрининга. Может попутала чего.
Кстати, ты в частную или в государственную жк ходишь? Я как вспомню свою государственную - сдохнуть хочется. Да и гинеколог моя по прописке еще так скотина, так что туда ни ногой.
Витамины сказала американские ваще ни-ни, ибо в америке другие люди, другие потребности, другой климат и вообще все другое. Ну ок. Не была бы параноиком, заказала бы себе вкусные не рыгательные витамины и радовалась, а так 😞
Допплер.... Ахахаха))) Не поверишь))) Часа 2 назад на olx искала 😂😂😂
0
07.06.2018
Ответить
Тюмень
я в обычную хожу, думала в частную, а потом поняла что за взвеситься и взять бумажки на кровь 50-70т.р. слишком жирно) учитывая что я мнительная и каждый раз чуть кольнет бегу в клинику на УЗИ, вдруг что не понятно по анализам, пересдаю платно и так трат хватает. Врач устраивает ЖК тоже, все очень организовано, так что не парюсь. Но вот в прошлую Б решила еще и не ездить, не по прописке, а по месту жительства встать, ой бляя... врач абсолютнейшая амеба вообще не во что не вьезжающая и очередь в 40 пузатиков и на когда бы ты ни был записан три часа как миленький просидишь, как вспомню так вздрогну.
А допплер веещь, я с после самой первой Б очень боюсь замершей. Поэтому стук родного сердечка это прям очень очень вис лав.
Муж мчит сейчас с ним домой
в прошлую б был с наушниками, сейчас купила с динамиком и таким датчиком как у узиста по пузу водить, испробую. Написано кстати с 8 недель ловит
в прошлую б был с наушниками, сейчас купила с динамиком и таким датчиком как у узиста по пузу водить, испробую. Написано кстати с 8 недель ловит
0
07.06.2018
Ответить
Мама двоих (7 лет, 5 лет)
Киев
У меня по прописке и по проживанию женские консультации вообще ппц. Да контингент, который повстречаешь по дороге в нужный кабинет, не особо радует))
В частной, в которую я буду ставать на учет, получается 17к грн (около 40к рублей). Пздц, да, но в моем случае лучше заплатить и быть спокойной с адекватным врачом, чем сидеть по 4 часа в очереди, слушать хамство врачей и молиться, чтобы ничего не хватить по дороге к врачу))
Мне фетальный допплер не светит))) У нас ремонт и постановка на учет 😂 А бу не хочу(
0
07.06.2018
Ответить
Тюмень
допплеры на али по адекватным ценам! 1500руб) https://ru.aliexpress.com/item/Doppler/32849760035.html?spm=a2g0v.search0604.3.1.69ca4fc22QuVy8&ws_ab_test=searchweb0_0,searchweb201602_5_10152_10151_10065_10344_10068_5722815_10342_10343_10340_5722915_10341_10543_5711416_5722615_10696_10084_10083_10618_10307_10301_5722715_10059_100031_10103_5711515_10624_10623_10622_5722515_10621_10620_10125-10152_10151,searchweb201603_55,ppcSwitch_5&algo_expid=72a8ce1a-2b82-4073-a082-cab747db213e-0&algo_pvid=72a8ce1a-2b82-4073-a082-cab747db213e&priceBeautifyAB=0
мне нравится в моей жк именно то что там пришел по времени- зашел по времени, врач душка. Мразота только заведующая но если повезет вообще её не увижу,будь только вариант с очередищами и хамством пошла бы тоже платно)
0
07.06.2018
Ответить
Мама двоих (7 лет, 5 лет)
Киев
Каждой бы такую жк)))
В моей жк врач и есть заведующая. В 19 лет у нее была - говна она мне наговорила. В 23 напичкала меня от всех болезней так, что чуть коньки не откинула. Третий раз к ней точно не пойду. До сих пор вспоминаю тот ужас)) Фу.
Уже думаю касательно роддомов на случай сохранения. Короче дурная моя голова)))
0
07.06.2018
Ответить
Тюмень
наверное в обязанности заведующей входит быть мразотой, иначе она не полноценная заведующая, по крайней мере гос. учреждения
у меня муж все подумывает насчет частного роддома, как сходили туда на экскурсию, его вдохновила мысль что там папам коньячку для храбрости наливают, а после родов фуршет организуют ))
у меня муж все подумывает насчет частного роддома, как сходили туда на экскурсию, его вдохновила мысль что там папам коньячку для храбрости наливают, а после родов фуршет организуют ))
0
07.06.2018
Ответить
Мама двоих (7 лет, 5 лет)
Киев
Вспоминаю 4 киевский роддом и повеситься хочется)) Отделение патологии беременности было полным ахтунгом. Да и манипуляционный кабинет такой, как в фильме хостел, а то и хуже 😂😂
Частный роддом конечно круто))) И хочется. Но бляха. В Киеве есть 3 известных крутых - Исида и Лелека. В Лелеке ер 50-80к грн, в Исиде 70-90к грн. В рублях умножай на 2.35. Это ПЗДЦ с огромнейшей буквы. Хотя, обычные роды обойдутся в районе 10к примерно. Или же с «благотворительным взносом» в районе 3к. Вроде так.
Пару дней назад читала новость, что мамкам после родов с 1 сентября боксы на 5к грн будут дарить. Ну ок))) Хоть что-то)))
0
07.06.2018
Ответить
Тюмень
даа частные роддома это дохера деньжищ
Клёво! обзор потом запили чего там дарят)
в МСК Собянин ввел подарочный коробень тем кто родил с 1го января 2017 и имеет московскую прописку, там стоолько ништяков классных, обидно блин это ведь наш бывший мэр, а нам хрен с маслом все так же после родов, так только пробнички чего нибудь, да пара памперсов.
0
07.06.2018
Ответить
Мама двоих (7 лет, 5 лет)
Киев
Ну, оно то вроде и приятно, но бляха) Был бы вариант деньги/коробка с херовым наполнением - конечно же выбрала бы деньги.
Какие-то там выплаты за рождение дитя мне вроде как не светят, так как открыто чп, да и не особо они мне нужны, ибо ну его в сраку миллион очередей отстоять по учреждениям, чтобы получить еще большее кол-во бумажек для оформления бонуса за роды. Нафиг.
Тут дайбог выносить и не сойти окончательно с ума. В прошлый раз финал был в 10 недель, но тогда я даже у врача не была и понятия не имела, что там и как. Сейчас даже страшнее, ведь знаю, что там оно реально растет и сердце лупится во всю. Короче трындец) Где б я еще поныла)))
0
07.06.2018
Ответить
Тюмень
я моталась с бумажками первые три Б, в итоге половину моих денег сьедала налоговая организации и там долгое типа "ждите вернем". В этот раз забила указала "безработная", выплаты за 4го и так минималка, а бегать лишний раз, пущай кормилец главный зарабатывает)
А что именно то было в 10 недель? у меня в 8 в первую б начал дичайше болеть живот приехала оказалось сердце перестало биться, это привило мне любовь к частым узи
0
07.06.2018
Ответить
Мама двоих (7 лет, 5 лет)
Киев
Так как к врачу не ходила в первую б - вообще понятия не имею как оно там развивалось и все ли было ок. Постоянно работала, постоянные нервы и походу матку тонусило сильно, ибо были постоянные боли. Ну, и токсикоз конечно же на фоне нервов был таким, что словами не описать.
Утром закровило, расстройство желудка, сильная рвота. Вызвала скорую, повезли роддом с диагнозом якобы «острая кишечная инфекция и начало самопроизвольного аборта». Начали капать цефтриаксон, кололи дицинон и пила нифуроксазид + витамин е. На следующее утро в 9 должны были уколоть опять, но в 7 проснулась, чувствовала себя еще хуже, живот спазмировало так, как тут описывают схватки. В общем укололи, легла и чувствую - пздц. Встаю в туалет - кровища течет, ручьи, капает на пол. В общем там додумались меня отвести на узи и внезапно - а плодного яйца то уже нет. В общем через весь роддом с пеленкой между ног и в чужом халате экстренно чистку и все, финал. Такое там неслость, жесть. По гистологии ткани плаценты с некрозами и еще чето мне непонятное, но в итоге сказали «shit happens" (утрирую).
В моей клинике узи не особо дорого, да и находится в 5 минутах езды, так что даже частые узи особо по карману не ударят)))
0
07.06.2018
Ответить
Тюмень
ничего себе, у нас по скоро хоть на голову жалуйся первое что сделают отправят к гине а та на узи. у меня как то на 14 неделях со старшим сыном полило вдруг, все думала приплыли, так меня там пол пачки утрожестана слопать заставили для сохранения, и все как само собой перестало.
Ну, теперь ты бдишь, и знаешь побольше всяких врачей так что все полюбому уже хорошо! Скрининг надо будет отметить))
0
07.06.2018
Ответить
Мама двоих (7 лет, 5 лет)
Киев
В приемном покое то посмотрели, но на узи не отправили. Ну, пережила это, с ума не сошла и отпустила. Теперь бдю)
Прогик в этот раз был ок, значит все ок. А там будет видно. Осталось пережить 10 неделю и дождаться завершения токсикоза и может тогда я начну испытывать хоть какое-то счастье от этого всего, а то пока один страх и волнение 😒
Кстати, 4-го не страшно рожать?))
0
07.06.2018
Ответить
Тюмень
Спокойствие, только спокойствие!
Да не особо, страшно было бы если бы опять погодка. Насиделась я, теперь все в саду, буду наслаждаться младенчиком. Гулять с коляской вальяжно, а то как младшие взрослели я вообще не помню, вечно куда то бежала. ну и если бы залетно тоже напряжно, а тут муж себе планировал целенаправленно
теперь машину семиместную смотрит
теперь машину семиместную смотрит
0
07.06.2018
Ответить
Мама двоих (7 лет, 5 лет)
Киев
Ох) Не представляю) Четыре. ЧЕ-ТЫ-РЕ))) Мамочки))
А я точно словила космические импульсы, раз с 1 па с финалом в правильное место получилось 😂😂😂 Но как-то совсем я не подумала, что по пдр (если все будет ок, а все будет ок) получается на 19 января. Ну, или на 2 недели раньше, а это капец) Зима, холодина)))
0
07.06.2018
Ответить
Тюмень
склоняюсь к тому что 4ре конечно это таки больше чем три, но если этот деть пришел при оре врачей о бесплодии (одна труба удалена, другая деформирована) то блин, это прям очень важный человечек должен быть, вырастим узнаем)))
Зима, да, у нас 31 декабря, в наилучшем ракладе, начало января. У дочери был комплект на выписку офигительный такой, невероятно жалею что продала его( там комбез зимний в конверте. И красиво и практично до весны проходи в нем, теперь такой же хочу
0
07.06.2018
Ответить
Мама двоих (7 лет, 5 лет)
Киев
Я такое насмотрела 😂😂😂
Ой рано такое смотреть. Ой рано 🙃
Кстати, у тебя с грудью ок? У меня теперь 2 арбуза, которые не влазят в привычное белье. Я то и поправилась, но наливные арбузы безумно мешают. Какого размера теперь покупать - хз. Какого плана - тоже хз. Явно без пуш-апа надо, а то второй подбородок будет грудь подпирать 😂😂😂
Ой рано такое смотреть. Ой рано 🙃
Кстати, у тебя с грудью ок? У меня теперь 2 арбуза, которые не влазят в привычное белье. Я то и поправилась, но наливные арбузы безумно мешают. Какого размера теперь покупать - хз. Какого плана - тоже хз. Явно без пуш-апа надо, а то второй подбородок будет грудь подпирать 😂😂😂
0
07.06.2018
Ответить
Тюмень
с грудью беда, у меня и так размер редкий, теперь вообще надулась выпадает из всех бюстгалтеров при любом движении. Был 70E теперь вообще незнаю что смотреть, все мысли сильно похудеть не покидают, чтобы и грудь подушла акромя молочных рек
0
07.06.2018
Ответить
Мама двоих (7 лет, 5 лет)
Киев
У меня было всегда 65B. Потом длительное время 70B. Сейчас даже не представляю какой объем и какую чашку брать 😐 Походу 75(80)C надо, да такой, пополнее 😪
Даже после тонкого спортивного топа голым титькам ощущение кайфа. А на счет бюстов - вообще хз. Чутка попустит токсикозина и нужно будет выбраться на поиск удобного лифа, ибо с этими титьками тяжко жить 😂
0
07.06.2018
Ответить
Тюмень
Мимишный конверт
, но вопрос только в его теплости, такое чувство что на осень , нет?
никогда не рано) мое мнение, нужно наоборот визуализировать все хорошее, а не нагнетать "ой а вдруг" привлекая это а вдруг, так что все гуд! я тут уже почти плед карапузу связала) уже прицелилась к вот такому конверту, осталось узнать пол и найти подходящий цвет)
, но вопрос только в его теплости, такое чувство что на осень , нет?
никогда не рано) мое мнение, нужно наоборот визуализировать все хорошее, а не нагнетать "ой а вдруг" привлекая это а вдруг, так что все гуд! я тут уже почти плед карапузу связала) уже прицелилась к вот такому конверту, осталось узнать пол и найти подходящий цвет)
0
07.06.2018
Ответить
Мама двоих (7 лет, 5 лет)
Киев
О, а вот вязанные штучки я безумно люблю) Они особенно стильные какие-то)))
Комбез смешной безумно) Явно на осень-весну. С летними детьми проще, наверное) А вот на зиму. Это ж капец) Главное не включиться в режим дурноватой мамаши и не сходить с ума по поводу и без повода.
Хотела бы мальчика или девочку?) Ну, то понятное дело, что любому полу будешь рада, но все же?)) Я даже не знаю) С каждым полом свои заморочки))
0
07.06.2018
Ответить
Тюмень
Вообще сначала думали с мужем что для комплекта еще одну девчонку бы, дочь сестру хочет, в куклы бы с ней играли, общие девчачьи забавы. Но я настолько привыкла что именно она королева моего сердца что незнаю как это с двумя то девоньками, с мальчиками проще, мужчинки мои как команда, мальчишка еще один как общий ляль которого бы мы ростили
да вообще хорошо когда уже все есть, в ту Б я была на иголках, хотя чувствовала что это девочка) сейчас наверное хотелось бы больше снова платишек не смотря на внутренние противоречия, и первый раз 2 полоски увидела сразу подумала "о Алёнка" хотя имя мне уже не так по нраву, но может и правда девчонка.
А ты бы кого хотела?))
да вообще хорошо когда уже все есть, в ту Б я была на иголках, хотя чувствовала что это девочка) сейчас наверное хотелось бы больше снова платишек не смотря на внутренние противоречия, и первый раз 2 полоски увидела сразу подумала "о Алёнка" хотя имя мне уже не так по нраву, но может и правда девчонка.
А ты бы кого хотела?))
0
07.06.2018
Ответить
Мама двоих (7 лет, 5 лет)
Киев
Мне вообще снился сон, что подруга звонит и говорит «у тебя по анализам двойня и один из них мальчик 😂 Так что я морально настроена на мальчика, но и девочке тоже буду рада) Но хочется девочку, наверное. Не знаю) Все равно это все настолько странно) Многие девушки(женщины?) начинают радоваться беременности еще при виде 2 полосок на тесте, а у меня пока ступор. Не, ну я рада, но не так, чтобы прямо усираться от этого и носиться с мордой «яжебудущаямать». Креветка по сроку, сердце бьется, я не дохну. Значит все ок.
Походу я неправильная)) Да и пофиг 😂😂😂
Из самого страшного в этом всем для меня уже после родов - некому помогать. В плане того, что оставить дитя на кого-то, чтобы поспать или сходить хоть куда-то для решения каких-то дел. Не знаю. Страшно
0
07.06.2018
Ответить
Тюмень
Давай я подкину тебе позитивку, у меня три раза было так что никого рядом, а два последних так младенец на руках, а рядом орущие малявочки, муж на работе, и свекровь еще дистанционно кровь пила. А у тебя будет только один, так что считай релакс спа
блин, я тебе... и себе, очень желаю чтобы лялика колики обошли стороной, потому что мелкие обычно спят, очень много спят и чтоб ты выспалась, и чтоб помылась и накрасилась нооо, только если у него не колики, смесь в роддоме вообще не позволяй,а то вероятность того что этот пиздец будет в разы увеличиться
а про дела, слинг с кольцами, приноровиться и деть будет дрыхнуть повиснув прижатый к титьке и тоже все ок, и руки свободны и деть доволен)
А из соображений неправильности, я раньше так же, типа витать в облаках, все ведь так расписывают, чего я не такая, а в итоге сидишь паришься и блюёшь, потом становится легче и вспоминаешь как это нормально жить, потом ой шевелюшки, потом ой пузо, потом декрет и роды) счастье беременности оно фрагментарно))))
блин, я тебе... и себе, очень желаю чтобы лялика колики обошли стороной, потому что мелкие обычно спят, очень много спят и чтоб ты выспалась, и чтоб помылась и накрасилась нооо, только если у него не колики, смесь в роддоме вообще не позволяй,а то вероятность того что этот пиздец будет в разы увеличиться
а про дела, слинг с кольцами, приноровиться и деть будет дрыхнуть повиснув прижатый к титьке и тоже все ок, и руки свободны и деть доволен)
А из соображений неправильности, я раньше так же, типа витать в облаках, все ведь так расписывают, чего я не такая, а в итоге сидишь паришься и блюёшь, потом становится легче и вспоминаешь как это нормально жить, потом ой шевелюшки, потом ой пузо, потом декрет и роды) счастье беременности оно фрагментарно))))
0
07.06.2018
Ответить
Мама двоих (7 лет, 5 лет)
Киев
Корове нам с тобой походу нужно в мессенджер какой-то переходить, ибо понеслась жара) Один/не один, но все равно как-то страшно. Подруги/знакомые - да как-то я даже и представить не могу, что обращусь за какой-то помощью к ним. Ойвсё)
Круто, когда у подруг/хороших знакомых дитя +- того же возраста с твоим. Слабо себе представляю как буду наматывать круги по сугробам на улице. Да и что читать вообще из литературы толковой? Спиридонов? Окей. Прочитано. Марта Сирс - прочитано. Гв и роды - рано об этом читать. В общем чем занять себя дома когда тебя выворачивает наизнанку и пока особой радости, что внутри тебя «новая жизнь, дитя растет, сердечко бьется и блаблабла», нет и хз когда она появится и как вообще будет проявляться.
У меня есть примерные догадки касательно причин такого моего мозгового ступора, но хз. Я думаю, что мозг мой пытается защитить себя от эмоционального напражениы, дабы опять не свихнуться)
Ой дурдом)))
Касательно роддома, гв, смеси и коликов - очень маленький проц женщин реально не может кормить грудью, так что через муки и страдания, но только гв. Плюс совместное пребывание в послеродовой палате, никаких отдельных детстких комнат. Но это уже моя заморочка. Так хочется. А как будет - ну, будет ясно в процессе.
0
07.06.2018
Ответить
Мама двоих (7 лет, 5 лет)
Киев
Читала твою историю. Мистика вообще)
Но это знак) Значит хорошая ты, раз еще один будет) Не просто так ведь все получается)))
0
07.06.2018
Ответить
Мама девочки (7 лет)
Нижний Новгород
Я тоже думала, что от магне Б6 тошнит сильнее, но, увы, легче без него не стало( пошла 15 неделя, значит, уже 10 беспробудного токса позади😒
На скрининг хватает одной пробирки, но если сдавать всё для учета - то минимум 4, а то и больше
0
07.06.2018
Ответить
Мама двоих (7 лет, 5 лет)
Киев
Звиздец 😭
Тошнит без рвоты или все радости беременности испать успели?)
0
07.06.2018
Ответить
Мама девочки (7 лет)
Нижний Новгород
С 5 по 7 сильно мутило, без побегов в туалет, потом даже от воды рвало, раза 3-4 в день где-то недели полторы. Отпустило к 10 и я даже уже накрутила себя, что ЗБ и тд, но в 11,5 опять с рвотой по утрам и вечерам, днём на работе слава богу терпимо.
Сейчас стало легче или привыкла уже, тошнит сильно, но без блевоты🙄
0
07.06.2018
Ответить
Мама двоих (7 лет, 5 лет)
Киев
Дурдом))
Рвота водой уж точно приятнее рвоты едой) Меня однажды в порывах тошнотных осинило вопросом одним... Какой едой менее противно блевать. И тогда я поняла, что ВСЬО, это клиника)))))
0
07.06.2018
Ответить
Мама девочки (7 лет)
Нижний Новгород
Я могу ответить! Маринованным имбирем 😂
0
07.06.2018
Ответить
Мама двоих (10 лет, 7 лет)
Москва
Я думала всю выкачают кровушку мою и решила грохнуться в обморок, чтобы завершить эту экзекуцию😂 просите нашатырь перед этим, если плохо переносится. Я со своим теперь хожу😁
0
07.06.2018
Ответить
Мама мальчика (13 лет)
Вологда
У меня на первом скрининге, вроде, 4 или 5 пробирок выкачали( если б не марс, с собой взятый, в обморок бы грохнулась. Так что возьмите чтото поесть с собой, чтоб сразу в топку закинуть после крови)
Хотя, если у вас токсикоз, то эту еду постигнет та же участь, что и мой марс под первым кустом у ЖК))
Удачи вам, берегите себя и креветку)
И зачихайте пожалуйста)
0
07.06.2018
Ответить
Мама двоих (7 лет, 5 лет)
Киев
У меня все неправильно - на голодный желудок мне легче)) Когда поем - уже отчетливо постоянно думаю об интенсивности тошноты и «стошнит или нет».
Обчихиваю сильно-сильно!
0
07.06.2018
Ответить
Мама двоих (20 лет, 8 лет)
Запорожье
Нет, не много) это один анализ - один шприц набирают и всё))
0
07.06.2018
Ответить
Мама двоих (7 лет, 5 лет)
Киев
Спасибо))
А то мне дали распечатку пакета ведения беременности и мне аж дурно стало от количества анализов и нацеживания крови из моих вен 😳
0
07.06.2018
Ответить
Мама двоих (7 лет, 2 месяца)
Красноярск
На скрининге одну брали, а на учёт когда вставала, так 7 штук))
0
07.06.2018
Ответить
Мама двоих (22 года, 10 лет)
На счет крови советую лёжа сдавать и конечно не смотреть.так знакомая лаборант посоветовала.она беременным только так берет
0
07.06.2018
Ответить
Мама двоих (7 лет, 5 лет)
Киев
О, вот это дельный совет! Однажды брали так кровь и было отлично. Спасибо, так и буду проситься)))
0
07.06.2018
Ответить
вот такой был только белый