Фолликула без четкого контура
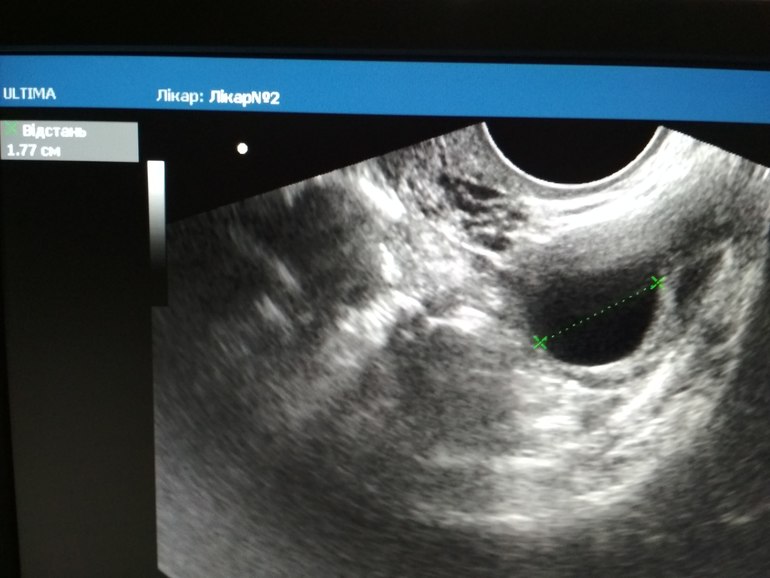
Месячный циклДобрый день.Может кто сможет объяснить ,почему фолликула не имеет четкий контур?УЗИ на 10 дц. Утром тест на овуляцию нулевой.

Через день опять на УЗИ,наблюдаем
Добрый день.Может кто сможет объяснить ,почему фолликула не имеет четкий контур?УЗИ на 10 дц. Утром тест на овуляцию нулевой.

Через день опять на УЗИ,наблюдаем