жду мальчика, 6 неделя
Москва
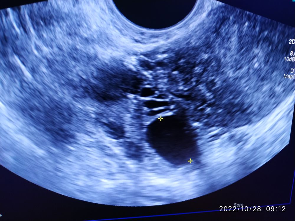
Фолликул 21 мм
Как думаете по форме ведь похож на намеревающий лопнуть фолликул? И ещё, можно ли где то на снимке увидеть с какой он стороны?
Санкт-Петербург
Вопросы иногда веселят)))
Ну я вот думаю по форме, да, готов лопнуть))
Узист Вам что сказал?))
0
02.11.2022
Ответить
Мама мальчика (2 года)
Москва
Наталья, узи на 23 дц, поздно для овуляции просто..
на УЗИ конечно не скажут точно, лопнет или нет
0
02.11.2022
Ответить
Санкт-Петербург
Евгения, А мы скажем?
Вы ж моя хорошая-))
Если на УЗИ нет желтого тела в яичнике, то овуляция не произошла. Его ни с чем не перепутает узист. Желтое тело сохраняется до момента менструации. Если овуляция была 1-2 дня назад, то ещё и свободная жидкость будет узисту видна.
Какой у Вас цикл?
Давайте методом исключений найдём Ваш покой-))
0
02.11.2022
Ответить
Мама мальчика (2 года)
Москва
Наталья, да верю что овуляции не было, но просто надеюсь что будет в ближайшие дни.. Надеюсь такой шанс есть..
обычно 30-32 цикл, овуляция на 15-17 ДПО
0
02.11.2022
Ответить
Мама мальчика (3 года)
Санкт-Петербург
Наталья, надежда умирает последней.... сама такой же была ...
Во всем искала любую зацепку
0
02.11.2022
Ответить
Санкт-Петербург
Cleo, Холодная голова.
Девочки это важно.
Я планирующая...Прохожу методом исключения обследование, на очереди проверка труб...Позади гормоны, овуляция, эндометрий, кариотип, спермограмма....Я понимаю чувсвтва планирующей женщины, но я стараюсь всех обратить внимание на спокойствие....Спокойствие, что всё получится.
Ну нельзя в стрессе планировать.
0
02.11.2022
Ответить
Мама мальчика (3 года)
Санкт-Петербург
Наталья, я когда после года попыток начала что-то делать : лапара...гистера....потом эко , то шла с холодной головой, а вот когда ГОД ждала из месяца в месяц.... это было тяжко 🙄. Я к тому, что надо предпринимать конкретные шаги, а не всякие там позы берёзки и актиферты
0
02.11.2022
Ответить
Санкт-Петербург
Cleo, Согласна. Мы не ждём с мужем. 3 цикла мимо-и мы всё сдаем, что рекомендуют.
Да, что-то платно, что-то бесплатно.
Нам по возрасту 6 месяцев дают, НО мы пока работаем над беременностью, потихонечку анализы сдаём.
Не наступит беременность в январе, а у нас всё готово к ВМИ и ЭКО-))
Диагноза нет, кстати. Здоровые мы, говорят-))
0
02.11.2022
Ответить
Мама мальчика (3 года)
Санкт-Петербург
Наталья, вы молодцы! Я считаю, что год не нужно ждать никому ! Если пара здорова, то Б наступит гораздо раньше.
0
02.11.2022
Ответить
Мама четырех (от 1 год до 18 лет)
Каменка-Днепровская
По поводу с какой стороны до вам на УЗИ должны были сказать. А форма и правда кривоватая))) может он сдуваться начинает?))
0
02.11.2022
Ответить
Мама четырех (от 1 год до 18 лет)
Каменка-Днепровская
Nika , вот мой 22мм, который вчера похоже что лопнул уже).
0
02.11.2022
Ответить
Москва
Тут разные ситуации можно предположить, может такая поздняя овуляция, но тогда цикл 35 дней должен быть, я могу сказать о себе, у меня 28-30 дней, когда тоже смотрели фолликулометрию, то вроде рос фолликул в правом на 10 день был 16 мм, а потом на 12 день 18мм, в левом 11 мм, а на 22 день желтого тела не увидели, потом сказали через месяц еще прийти на 7-10 день на УЗИ и актиферт гино пить три месяца, в итоге принимала, в итоге помог мне наладить цикл, фолликул был 20 мм на 10 день, ну мы и старались неделю и забеременела после долгих попыток. просто надо разобраться до конца в овуляции
0
11.11.2022
Ответить
Мама мальчика (3 года)
Санкт-Петербург
У меня такой кривой был как-то, сказали, что он с предыдущего цикла
0
02.11.2022
Ответить
Мама мальчика (2 года)
Москва
Cleo, в предыдущем тоже делала УЗИ на 7 ДПО, не было фолликулов, только жёлтое тело, так что наверное не мой вариант
0
02.11.2022
Ответить
Москва
цикл какой у Вас? если это 23 дмц, то в динамике смотреть нужно, может фолликулярная киста.... Только врач при осмотре и УЗИ в динамике может сказать, нужны данные для ответов...
0
03.11.2022
Ответить