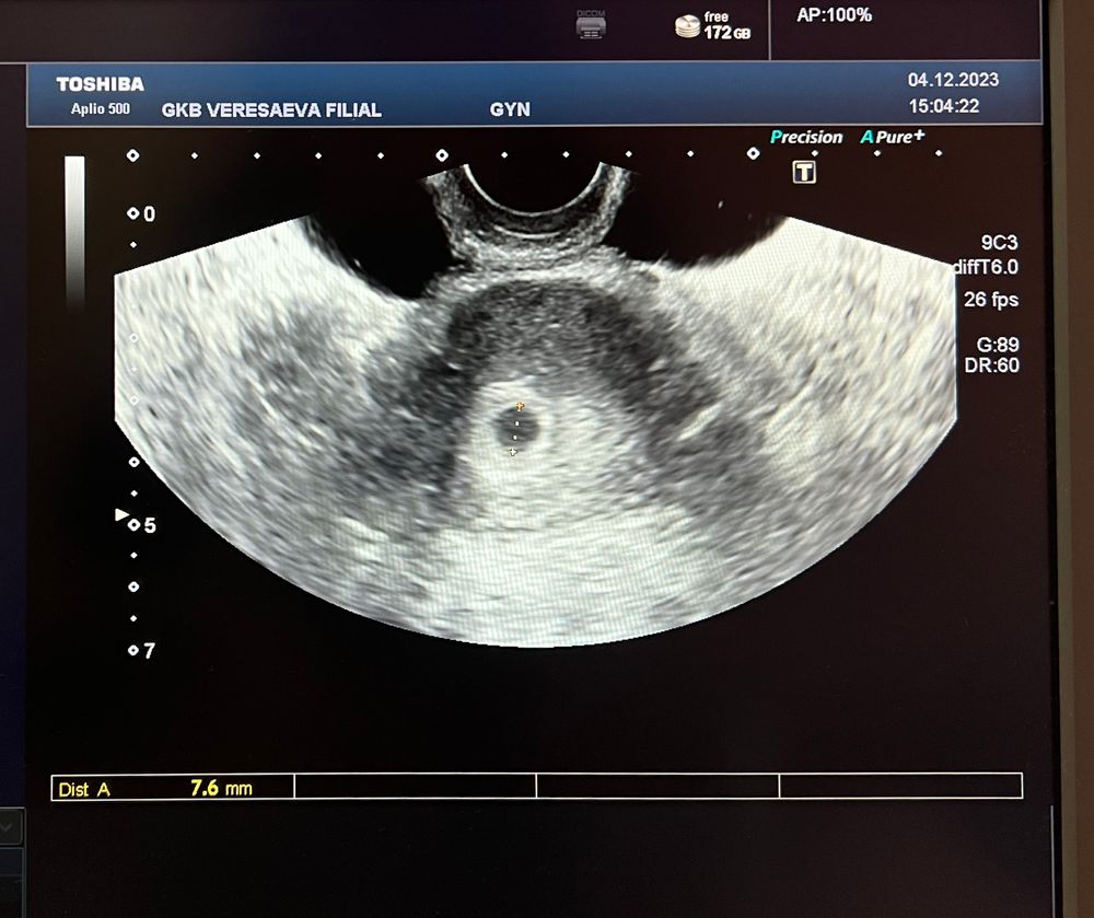
Надежда в Зачатие 2 года Ну и хорошо Добралась до врача, сделала узи ПЯ в матке, срок ~5 недель, все как я и насчитала. Но сердечко еще не слышно, через 2 недели снова на узи. Но уже спокойно все на месте и развивается. Надеюсь все будет как надо🤞🏼 Посмотрите еще 20 записей на эту тему Лучший ответ Тру вумен Удачи 🤞🏻 05.12.2023 Ответить Надежда Тру вумен, спасибо! 05.12.2023 Ответить Отменить Ответить Эви тест реагентит? Биохимическая беременность Чаты Беременных Выберите чат: Январята-2026 Февралята-2026 Мартята-2026 Апрелята-2026 Майчата-2026 Июнята-2026 Июлята-2026 Августята-2026