16 ДЦ овуляция
Овуляция( тесты на овуляцию)
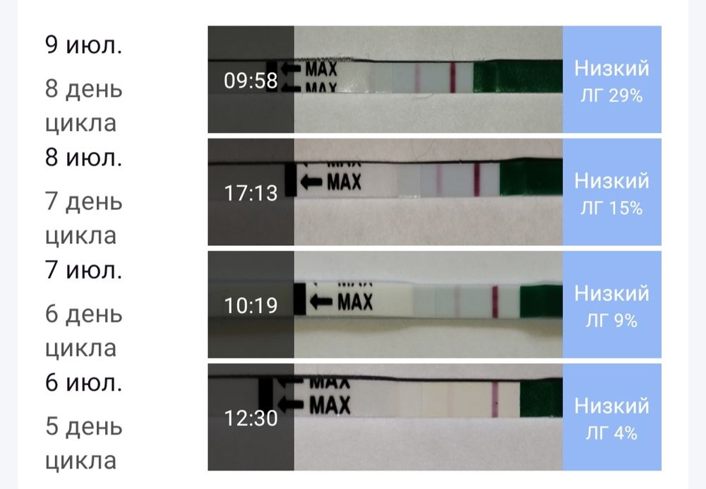
Девочки первый раз делаю тест на овуляцию Подскажите это положительный тест ? Просто 16 дц сегодня,в общем он 26-27 дней
Лучший ответ
Евгения
Тесты не очень понятные, но похоже, что положительные на 11 и 12 дц, а овуляция была на 13 дц
09.07.2024
Ответить
Кристина Филатова
Евгения, мне и врачу тоже кажется что на 11 -12 -13, просто бт стоит на 37.0 и не падает и не поднимается
09.07.2024
Ответить
Евгения
Кристина Филатова, а на узи жт есть? Бт надо уметь мерить правильно, с ней можно накосячить
09.07.2024
Ответить
Кристина Филатова
Евгения, бт меряю давно,так что тут все норм. А вот на УЗИ у нас трудно попасть
09.07.2024
Ответить
marti86
Кристина Филатова, ну если бт уже 37,то какие вопросы могут быть?? Это явно температура второй фазы ... Тоже больше склоняюсь к тому что пик вы пропустили и был он на 11 дц+ вторая фаза фаза 14-15 дней = ваш цикл в 26 дней .. Тесты лучше поменять и делать их хотя бы по 2 раза в день. Особенно тогда когда обе полоски примерно одинаковые.
09.07.2024
Ответить
Татьяна
А есть без фильтра фото? По тестам что то не очень похоже, что О была, либо если тесты плохо ярчают, то похоже на 12-13 ДЦ
09.07.2024
Ответить
Кристина Филатова
Кристина Филатова, мне кажется 11 &12 . Что была , даже может и раньше. Поделаю ещё.
09.07.2024
Ответить
Татьяна
Кристина Филатова, если честно, то странно они полоску показывают, я уже в предыдущем вашем посте показывала свои и у меня прям каждый день разной яркости четкая полоска, но О пока не было, ещё не такая яркая как основная
09.07.2024
Ответить