Войти
Мама девочки (12 лет) Санкт-Петербург

УЗИ

0
26
Мама двоих (4 года, 7 месяцев) Уфа
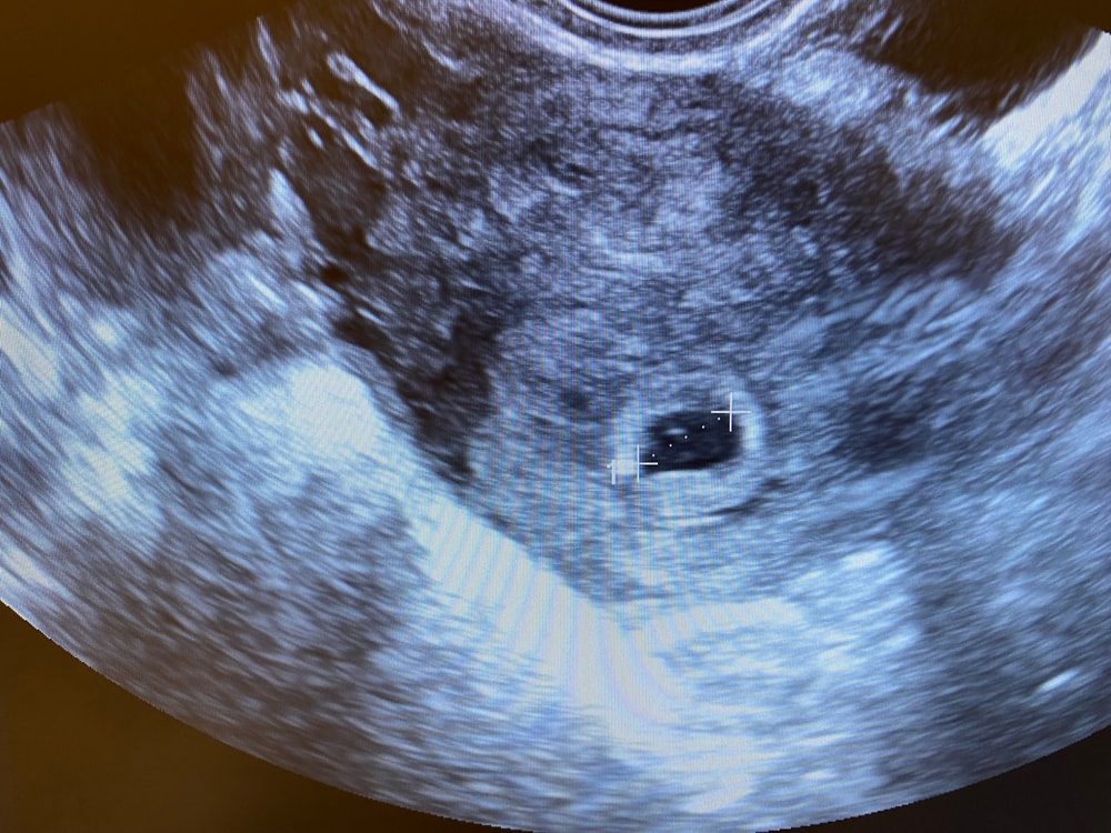
Я пошла на узи в 4.6 увидели плодное яйцо в матке. Ровно через 2 недели уже был эмбрион + сердцебиение. Изображение
0
10.05.2025
Мама девочки (13 лет) Санкт-Петербург
Январька, шикарно,надеюсь так же будет🥹
0
10.05.2025
Иркутск
Январька, это снимок 4,6? Что то больше на 6 недель похоже
0
10.05.2025
Мама двоих (4 года, 7 месяцев) Уфа
Чудо 39, да, это снимок 4 недель 6 дней. А вот снимок 6.6 недель Изображение
0
10.05.2025
Иркутск
Январька, а ктр какой на 6,6?
0
10.05.2025
Мама двоих (4 года, 7 месяцев) Уфа
Чудо 39, КТР 8.5 мм был
0
10.05.2025
Иркутск
Январька, да шикарно даже желточный есть уже
0
10.05.2025
Мама двоих (4 года, 7 месяцев) Уфа
Чудо 39, в 8.4 недели смотрю, уже голова, тело, ручки и ножки есть:)) ну и конечно малыш уже подвижный, шевелился на узи, своя жизнь уже у него там в домике) ктр был 21мм.
0
10.05.2025
Мама двоих (3 года, 9 месяцев) Новокузнецк
Все зависит от уровня хгч, у меня нашли вже, но и хгч к тому времени был больше 1000
0
10.05.2025
Мама девочки (13 лет) Санкт-Петербург
Екатерина , я надеюсь конечно что уже к этой цифре у меня хгч,неделю не сдавала
0
10.05.2025
Мама двоих (3 года, 9 месяцев) Новокузнецк
★Галинка★, а неделю назад сколько был
0
10.05.2025
Мама девочки (13 лет) Санкт-Петербург
Екатерина , 67.4
0
10.05.2025
Мама двоих (3 года, 9 месяцев) Новокузнецк
★Галинка★, ну маловато конечно, но может уже будет за 1000
0
10.05.2025
Мама девочки (13 лет) Санкт-Петербург
Екатерина , ну да,но вдруг повезет,уж очень нетерпится на узи сходить.
0
10.05.2025
Мама троих (18 лет, 13 лет, 11 месяцев) Анталия
у меня в 4+5 было уже пя видно если у вас не поздняя овуляция и норм аппарат, то увидят.
0
10.05.2025
Мама девочки (13 лет) Санкт-Петербург
Алена, ох,дай бог что увидят🥲🥹
0
10.05.2025
Мама мальчика (5 месяцев) Владивосток
Я ходила, думаю найдут Срок поставили 3-4 нед. (3.05) 14мм плодное желточный мешок 2.3 мм 12.05 снова на узи, надеюсь увидеть свою кроху
0
10.05.2025
Мама троих (19 лет, 15 лет, 4 месяца) Тобольск
У меня нашли ПЯ 3мм в 4,4 нед. ХГЧ был 716 в этот день Эмбрион показался в 5,6 СБ+ в 6,6
0
10.05.2025
Мама девочки (13 лет) Санкт-Петербург
Тыковка, это обнадеживающе звучит,спасибо!🩷
0
10.05.2025
Мама мальчика (6 месяцев) Москва
Ну у меня нашли в 5 недель с чем-то, а сердце в 7. Но это потому что овуляция была не на 14 дц, а позже. Если уверенны, что у вас овуляция не поздняя, то должна найти уже пя
0
10.05.2025
Мама троих (22 года, 14 лет, 6 лет) Москва
Вполне смогут. У меня в 4+4 увидели
0
10.05.2025
Иркутск
Какой хгч ?
0
10.05.2025
Мама девочки (13 лет) Санкт-Петербург
Чудо 39, пока не знаю,утром сдала
0
10.05.2025
Иркутск
★Галинка★, больше 1000 должны найти думаю на узи но лучше если больше И апарат хороший. Мне на 3000 нашли только
0
10.05.2025
Мама двоих (20 лет, 4 месяца) Иркутск
Какой ХГЧ?
0
10.05.2025
Мама девочки (13 лет) Санкт-Петербург
Екатерина, не знаю,сегодня сдала только
0
10.05.2025
Узи УЗИ

Похожие записи