Мама двоих (13 лет, 11 лет), жду мальчика, 7 неделя
Краснодар
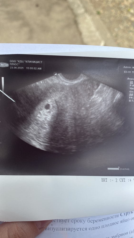
Первое узи- бусинка в матке)
Всем привет 👋🏻
Была на узи сегодня, нашли пя в матке,6-7 мм, совсем крошка еще. Через 2 недели пойду искать все остальное 🥰
Срок по месячным 5,4

Лучший ответ
Алена
Мама девочки (2 года), жду девочку, 25 неделя
Хабаровск
Ой ти Господи малыши еще совсем
А хгч сдавали?
0
23.06.2025
Ответить
Мама троих (14 лет, 12 лет, 2 месяца)
Краснодар
Алена, последний 19 числа 668) мне важно было знать, что в матке, потому что была вб уже
0
23.06.2025
Ответить
Мама девочки (2 года), жду девочку, 25 неделя
Хабаровск
LadyFox,ааа, ясно
Все будет ок
Я тоже на след недели или на хгч или на узи пойду.
Раньше не как, лежу с дочкой в больнице меня то могут отпустить, но у нас хгч только утром могу выбраться и то не всегда
0
23.06.2025
Ответить