Войти

Беременность.УЗИ

0
30

Лучший ответ

Мама троих (12 лет, 8 лет, 9 месяцев) Севастополь
В 6 недель появился эмбрион все 4 беременности
0
02.07.2025
Ксения , А желточный мешочек ?
0
02.07.2025
Мама троих (12 лет, 8 лет, 9 месяцев) Севастополь
Валерия, обычно я ходила в 5 и не было, потом в 6 и уже был или эмбрион или хотя бы ЖМ. В 6.3 уже точно эмбрион был и сердечко, подождите недельку- все появится 👍
0
02.07.2025
Ксения , Узистка перед моим уходом кинула такую фразу,я думаю ваша беременность не будет развиваться
0
02.07.2025
Мама троих (12 лет, 8 лет, 9 месяцев) Севастополь
Валерия, пусть идет нафиг эта узистка со своим гнилым языком! Все у вас хорошо будет 👍🙏
0
02.07.2025
Ксения , очень надеюсь 🙏🥰на 7 число записана к своему гинекологу,возможно она будет делать узи тоже
0
02.07.2025
Ксения , 3 беременность переживаю как в 1
0
02.07.2025
Мама троих (12 лет, 8 лет, 9 месяцев) Севастополь
Валерия, понимаю, сама жду 3 и все как в первый раз ))
0
02.07.2025
Мама девочки (3 месяца) Киров
Валерия, её речи ей в плечи. Все у вас хорошо, о плохом даже не думайте
0
02.07.2025
Мама троих (14 лет, 10 лет, 3 месяца) Брянск
Валерия, лесом её
0
02.07.2025
Мама троих (14 лет, 10 лет, 3 месяца) Брянск
У меня ХГЧ 15829!!! УЗИ вчера сделала, только ПЯ 11.2 и Желточный мешок 2.3 мм и всё. Срок по узи 4-5 недель. Сказали приходить через 7-10 дней.
0
02.07.2025
Blumarine, я пошла на УЗИ для подтверждения маточной беременности так как пила Кок
0
02.07.2025
Мама троих (14 лет, 10 лет, 3 месяца) Брянск
Валерия, ну я к тому,что хгч у меня во много раз больше))) я тоже ходила ради этого
0
02.07.2025
Blumarine, 7 числа пойду к гинекологу по моему подсчету хгч должен быть 45000-50000 тысяч,надеюсь хоть жм увидят
0
02.07.2025
Мама троих (17 лет, 5 лет, 4 года) Минск
Ну вот у меня на 20 дпо хгч 7200 был,это срок 4,6 акушерских,УЗИ было через 2 дня на 22 дпо (5,1 акушерских) пя 8 мм, жм 1,6,на 23 дпо хгч 14755 (5,2 акушерский) сдала из любопытства, следующее УЗИ на 31дпо (6,3 акушерских) пя 19,ктр 5,4 и ЧСС 146 уд/мин
0
02.07.2025
Марина, я прикрепила фото узи в комментариях
0
02.07.2025
Мама двоих (3 года, 3 месяца) Воронеж
20-го хгч 6848, 22 по узи ктр 2,5. И она его заметила чудом вообще Изображениея бы не заметила
0
02.07.2025
Мама мальчика (6 месяцев) Москва
У меня, когда ПЯ был 6,5 мм, был ЖМ 1,5 мм. Эмбрион появился в 5,5 недель с сердцебиением. Это индивидуальная история, поэтому не стоит сравнивать. Врачи советуют идти на УЗИ на 7й неделе - там всё должно быть на месте и прослушиваться.
0
02.07.2025
Мама двоих (17 лет, 4 месяца) Тюмень
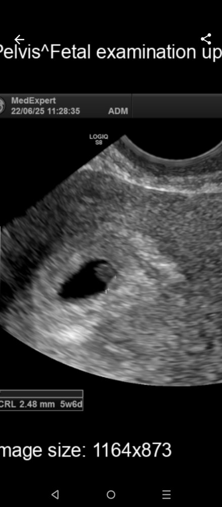
Изображение
0
02.07.2025
Мама двоих (17 лет, 4 месяца) Тюмень
Карина, хгч сдавала 3 июня было 16000, 4 числа было узи
0
02.07.2025
Мама мальчика (6 месяцев) Москва
Эмбрион был ровно в 7 недель 5 мм (это с даты последних месячных) Но мне ставят срок минус 4-5 дней. То есть это был срок 6+3
0
02.07.2025
Мама двоих (9 лет, 4 месяца) Москва
На 6й неделе попала в больницу с кровотечением и там первый раз увидели эмбрион и сердцебиение . В 5 вроде тоже не было ещё
0
02.07.2025
Мама девочки (4 месяца) Курган
Я делала узи в 5,2 было только плодное яйцо 0,5см, в следующий раз пришла в 8,0 эмбрион 1,5см и сердцебиение.
0
02.07.2025
Мама троих (17 лет, 5 лет, 4 года) Минск
В пя 8 мм только -только появился 1,6 мм всего,а в другую беременность в пя 7 мм в 5,1 акушерских ещё не было,потом появился,у вас ещё пя маленькое и срок
0
02.07.2025
Мама девочки (3 месяца) Санкт-Петербург
В 5 недель ПЯ, в 6 недель жм, ктр, сердцебиение.
0
02.07.2025
Мама двоих (4 года, 4 месяца) Москва
В 5 недель яйцо, в 7 - эмбрион и сердцебиение) надо подождать!
0
02.07.2025
Мама мальчика (7 лет) Москва
в 6 с хвостиком увидели и СС услышали и то нервы вытрепали сначала все))) найти не могли.
0
02.07.2025
планирую беременность Астрахань
Через неделю повторно сделать узи.Уже более менее картина будет ясна.
0
02.07.2025
Изображение
0
02.07.2025
Не понимаю как она опередила что беременность не будет развиваться
0
02.07.2025
Вопрос по узи и хгч Итоги и ананасы 🍍

Похожие записи