Мы с маковкой пришли знакомиться)
У нас получилось! Я беременна!Всем привет, меня зовут Настя, перекочевала к вам из "Зачатия" чему несказанно рада! Мне 22 года, проживаю в городе Москва, а точнее в районе Куркино, для ориентировки рядом Химки, 20.07.2013 вышла замуж, за мужчину без недостатков... 
Наша свадьба ( 20.07.2013)

И мы сразу начали планирование, полетев в свадебное путешествие мы были уверены, что прилетим уже с лялей
я в отпуске старалась не пить, больше спать, ведь я была уверена, что стоит только захотеть все сразу происходит)
Свадебное путешествие ( июль- август 2013)

Были слезы и разочарования и врачи и спермограммы, мы очень хотели малыша... на новый год мы отправились кататься на лыжах, и решили, что начинаем жить прошлой жизнью, я каталась на лыжах до дрожи в коленях, я не боялась упасть, я позволяла себе алкоголь, я наконец поняла, что живя в планировании жизнь улетает и просто нужно жить наслаждаясь, счастье придет и не спросит, мы отлично провели время.
Новогодние каникулы ( декабрь- январь 2014)

Дождались мы наше чудо мы спустя пять месяцев, когда немного отвлеклись, очень хотели перед беременностью съездить в Америку, не получится, оставили ее в мечтах и помахали ей ручкой
)), нам идет 5-ая неделька ( а точнее нам 4 недельки и 3 дня), знаем о нашем чуде мы уже целую неделю, на 10 ДПО ( как раз пол года с нашей свадьбы
) я утром решила замочить тест) и он показал мне две полосочки, радости моей не было предела, но и страх присутствовал. На следующий день побежала на ХГЧ ( 11 ДПО ) -82, через 48 часов повторил (13 ДПО) 228, растёммм, урааа, далее выходные и вот понедельник я опять на пороге Инвитро (17 ДПО) 1174, все хорошо, радости нет предела)) тестоманить я не переставала))

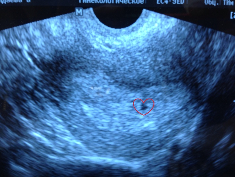
Вчера мы так же посетили врача,сделали узи и нашли нашу кнопку, мы еще совсем махонькие 3,3 мм, но мы уже с мужем как только можем укутываем любовью наше маленькое чудо)
Мы в правильном месте прикрепились, тонуса нет, проблем нет, сказали больше позитива и без нервов) Мы так и делаем, верим в самое лучшее и 14 февраля идем слушать сердечко нашей крохи
)
Знакомьтесь.. Наша будущая гордость

Буду очень рада знакомству со всеми) Беременность первая, буду надоедать вопросами) Всем легкой беременности и быстрых родов!
