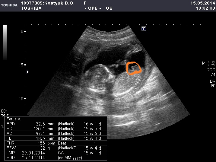
Тайна расскрыта!!!У нас будет....
Пол малышаНам 18 неделек, решила не дождусь до скрининга и сходила на узи платно.У нас мальчишка, сыночек, солнышко мое родное!!!Состояние странное, я очень рада что по узи все хорошо слава богу.Папа наш был прав, он с самого начала говорил, что там пацик)))А я вообще не чувствовала, но наверное девочку хотелось больше, но это все такая ерунда, он мой сладенький, хорошенький, пинает мамочку, главное здоровенький.Недавно снился сон что мальчика родила, выходит вещий)))И с именем мужским давно определились, в отличии от женского.Любим и ждем тебя наш сыночек
.

Дарья
ПОЗДРАВЛЯЮ!!! )))) Нашим мужьям будут наследнички! ))) У нас, кстати, с именем похожая фигня. ))) Слушай, а когда пинаться начал? Я уже таааак силь но хочу моего котенка почувствовать, жду не дождусь!!!
18.05.2014
Ответить
София
Спасибо дорогуля.Почти в 17 недель,но пинки еще не сильные,ручкой ощущаю.И доплером слушаю)))
18.05.2014
Ответить
Весна
Поздравляю)))а у нас наоборот..муж хочет мальчика а имена только женские выбрали))никаких вариантов мужских имен(((Подскажите а на какой неделе пол скажут и с какого дня их считать?))
18.05.2014
Ответить
Диана
Поздравляю!!!! Для мамы самое главноп что деточка здорова! Какое имя придумали??
18.05.2014
Ответить
Диана
Я когда ходила беременной, все время говорили что у нас будет Соня... А когда родила то решили назвать Шарлоттой, и добавили Софи, так как гладили животик и все время говорили Соня... Теперь у нас Шарлотта Софи, а дома она то Лотти то Соня:)))
18.05.2014
Ответить
Маришка
Поздравляю)))Знаете не один пример того, что какое имя первое выбирали и с каким определились тот и стал, мы еще только планировали , но имена мужские даже не рассматривали, и выбрали что будет Виктория, и в 12 недель нам сказали, что девочка)))
18.05.2014
Ответить
мы тоже в ожидании
