Юлия
Поздравляю! Дочка у тебя уже есть, так что наверно неважно кто) главное здоровенький!
а вот мне когда соберусь именно ДОЧУ надо)
19.01.2016
Ответить
Astrahentium
Спасибо)) Папа наш тоже дочу хотел, а получился мой заказ)) Бог даст , будет доча))
19.01.2016
Ответить
Светлана
И как вы что понимаете на этих черно-белых непонятных картинках )) я на УЗИ даже на экран не смотрю, потому что ничего не вижу и не понимаю)))
19.01.2016
Ответить
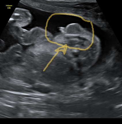
Astrahentium
У нас экраны большие перед кушеткой висят и узисты прям стрелочкой показывают)) А здесь вверху справа прям бугорок с писюном торчит, даже не прячет))
19.01.2016
Ответить
*Homa*
Мужчина, мальчик, сыночек) Это круто, и со средним разница маленькая! Мошонку, извини, не увидела))) Вообще не понимаю, как узисты что определяют. Я попу от головы не отличу, кажется))
19.01.2016
Ответить
Astrahentium
Смотри справа вверху бугорок с писюном))) Я к Платко ходила, он все стрелочкой показывал и подробно рассказывал.
19.01.2016
Ответить
Astrahentium
А родилась сколько ? Я не помню сына на этом сроке , но родился 5080 . Акушерка спрашивает на сколько кг я в этот раз иду ))
19.01.2016
Ответить
Анна
Родились в 38-39 недель с весом 3520. Врачи говорят,что если бы доходила до 41 недели,больше 4-х кг точно было бы.
19.01.2016
Ответить
Nika инста veronikamatveenko_5
Нам тоже надо такое хозяйство.А то пока мнения разделились узистов
18.01.2016
Ответить
Astrahentium
Спасибо )) как мне сегодня учительница старшей дочери скаханула , надо подсчитывать )) А у нас счастливый нежданчик )) Наш папа тоже девочку хотел )) а Вас скорейшего исполнения желания!
18.01.2016
Ответить



