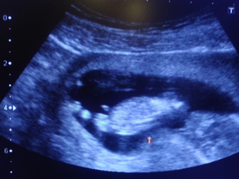
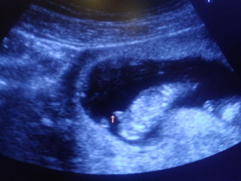
12 +3 скрининг
Ну вот и позади первый скрининг 12+3, познакомился папа с пузожителем, все хорошо и закрашиваю значок- у нас мальчик!!!
Ах, как папа счастлив, и слышать не хотел, что может быть девочка. По ходу сын услышал его мольбы и отрастил в первую очередь "началко", а теперь будет равномерно от "началка" расти))))))))) Почему началко?!- это муж мой так говорит, мол это у него не конец, а началко, он от него вверх и вниз равномерный))))))))))))))
Активный такой мальчуган, еле рассмотрели все! Сказала врач, что редко такое бывает в 12 недель, но "причандал" серьезный, сказала, что сомнений нет-пацан, и показала со всех сторон папину радость))) лежит на спине, пинается ногами и сосёт палец.
Я конечно не знаю, что бы там не говорили за кишечник, но я со вчерашнего дня слышу возню именно в одном месте, уровень широкой резинки леггинсов, именно очень похоже на шевелюшки.
Ну вот так и получилось, как я предполагала с самых первых дней, - будет мальчик - это они такие капризные))) не успела // увидеть, а уже кипишу сколько пережила, что в 7 недель казалось, что я уже недель 20 беременная, нервотреп казявоШный ))))))).
Но все самое интересное ещё только впереди.


А вот и папина гордость





