просто мама
А, я не вижу, что торчит, может другое что то вижу. Думаю это девочка.
05.10.2017
Ответить
Tati
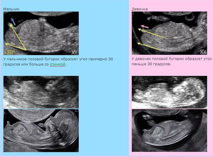
Мне кажется если бы хоть какой-то намёк был виден узист бы сказала, а все комментарии ниже...ну люди прям такие профи, будто уже по 15 детей имеют и все знают как и что 😀 Придётся ещё чуточку подождать ☺️
27.09.2017
Ответить
❤
На первом скрининге она раздраженная сидела, ее до нас этого пара одна выбесила. Верней она мужа ее не пускала и они ее послали. Со мной с порога злостно разговаривать начала) видимо не захотела говорить 😄
27.09.2017
Ответить
Елена
У меня кстате на вашем сроке очень ошиблись.Сказали что девочка, а вот в 22 недели подтвердили что мальчик🤗
27.09.2017
Ответить
Оставшиеся комментарии доступны после регистрации
Зарегистрируйтесь и получите полный доступ ко всем функциям сайта.


Это фото моей первой дочки, у нее так тоже загнуто что-то 🙈😅 хотя с ней сказали сразу что девочка