Половой бугорок. Мальчик или девочка?
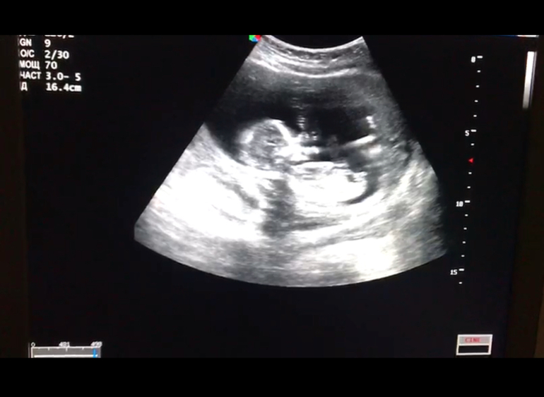
УЗИ, КТГ, доплерДевочки, кто разбирается, скажите, кто же поселился в домике?) Один врач предположил девочку, второй мальчика)) интрига))) срок 15 недель 

Лучший ответ
Анастасия
Девочки, спасибо всем большое! Сегодня подтвердили ДЕВОЧКУ!!!)))
14.03.2018
Ответить
Надя Дубова
если я не могу определить - значит девочка)))) я двоих своих парней еще в 12ть недель писюны увидела))) не такие они, не такие))))
14.02.2018
Ответить
Екатерина
Девочка однозначно, бугорок ниже 30 градусов от туловища.По второй фотке отчетливо это видно)
14.02.2018
Ответить
Виктория
Вот это УЗИ я понимаю! У вас девочка 😍 а мне в 14 показали вид между ног где это бугорок представили как писюн мальчика. Хотя он есть я смотрю и в 15 недель. Как я жду следующего УЗИ чтоб сказали кто же там у нас
14.02.2018
Ответить
Оставшиеся комментарии доступны после регистрации
Зарегистрируйтесь и получите полный доступ ко всем функциям сайта.