Всем привет!!!
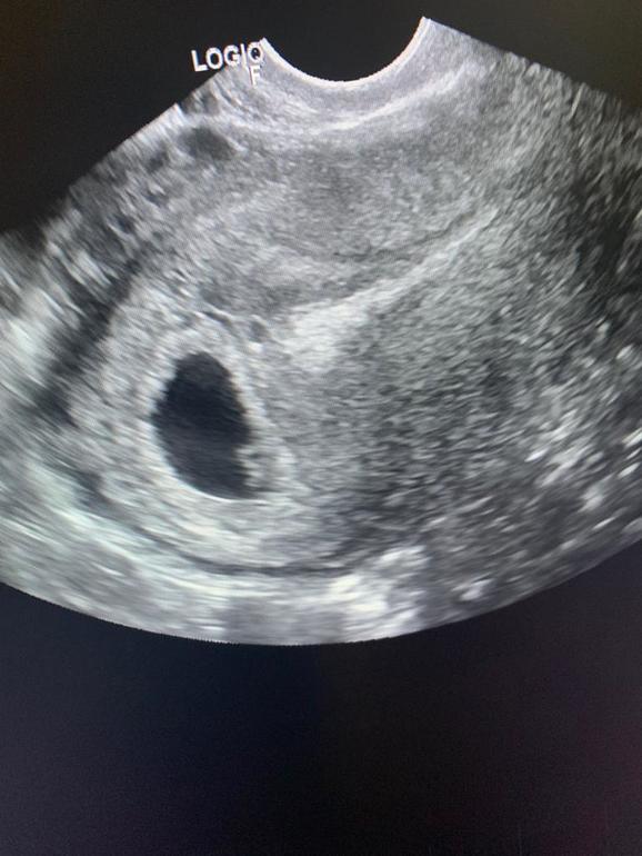
Сегодня нам 6 недель ровно. Вчера была на Узи, нашли малыша и сердечко послушали. Все на месте. Соответствуем сроку. А вот и мы: 
Слава богу один))) а то ХГЧ настораживал. 18дпо был 1556, 22дпо 6851. Сегодня 30дпо, сдала ради интереса, вот жду ответ. У кого какие показатели были?
Пришли результаты ХГЧ 30дпо 28901. Калькулятор пишет мало. Переживаю теперь...(((
Гончарова Виктория
Девчонки читаю вас и радуюсь!!! Молодчинка,тоже скоро на УЗИ,ох как жду!!!
07.08.2019
Ответить
Катюша
На первом скрининге деваху предположили. 23 августа иду на второй, посмотрим подтвердят ли.
01.08.2019
Ответить
Jevgenija
Супер! Будет два на два))) А я даже не знаю кого хочу. Дочку наверное. У моего сын взрослый есть. Мои две дочи тоже теперь у него есть)) так что ему без разницы. )))
01.08.2019
Ответить
НЮША (ник в ИГ Visla79)
У меня с девочками хгч зашкаливало, на 22дпо было 14500 и 16200, это с 5 и 6. С 4 на 3 ден ь задержки было 1730. А узи в вас было вагинальное? Если да, то похоже на девочку😊
30.07.2019
Ответить
Jevgenija
Да вагинальное. Но она не мерила ничего. Просто посмотрела что в матке и живой. Почему думаешь что девочка? Я как раз девочку хочу)))
30.07.2019
Ответить
НЮША (ник в ИГ Visla79)
По методу Рамзи, малыш сейчас справа сидит. Если было вагинальное, то девочка справа, мальчик слева. У меня сейчас слева сидит, тоже хочу, что бы сработал метод. Ну и хгч с девченками зашкаливает всегда
30.07.2019
Ответить
НЮША (ник в ИГ Visla79)
Ага. У меня в дневнике есть запись про этот метод можешь посмотреть. У меня все девченки мои были справа
30.07.2019
Ответить
привет вам от нас)))))))