Узнали пол или нет?
УЗИ, КТГ, доплерВчера наконец-то было наше узи на определение пола, малыш вертелся и меня вертели вместе с ним, с одного бока на другой 😁 врач все-таки смогла разглядеть и говорит: деваха😁☺️ Мы с мужем в машине потом сидим на эмоциях, обсуждаем, я говорю теперь у тебя две принцессы будет, представила уже как покупаю девчачью одежду 🙇🏼♀️
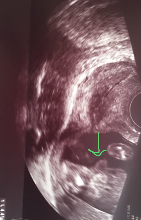
Но потом дома села снимки смотреть (ниже) и половой бугорок какой то слишком торчащим показался. Первое фото это снизу между ножек, сказали половые губки, а вот второе фото сбоку половой бугорок, он разве не мальчуковый? Срок 16.4 

Wanderlust
На таком сроке уже не плохо видно. Вероятность ошибки есть, но небольшая. Я бы верила узисту. На первом фото отлично видно половые губы. На втором - не половой бугорок, его уже нет, это что-то другое.
26.11.2020
Ответить
Таня
Второе фото это нога, ну или пуповина возможно, но никак не мальчукоый орган 😁. У вас девчуля, не переживайте
26.11.2020
Ответить
☼Таечка☼
На таком сроке обычно хорошо уже видно пирожок или пушка) 😁Может быть не половой бугорок все же на фото?
26.11.2020
Ответить
Tasha
У нас в 16 недель с мальчиком не бугорок, а прям "документы" уже были, ни с чем не перепутаешь)) так что думаю, врач у вас не ошибся - девочка)
26.11.2020
Ответить
Катерина
Похоже на девочку)Но вот половой бугорок удивил.Я думала он на таком сроке уже уходит.Нам в 16 недель сказали «ровная площадочка»,я конечно не знаю с какого ракурса она смотрела что так сказала.А фото снизу на 16+1 было таким)
26.11.2020
Ответить
Анастейша
Вот и поселились у меня сомнения
Через месяц скрининг, там посмотрим))
26.11.2020
Ответить
Оставшиеся комментарии доступны после регистрации
Зарегистрируйтесь и получите полный доступ ко всем функциям сайта.