Пол ребенка на 12 неделе
Пол малыша
Сегодня были на УЗИ,как видно на фото 12 недель и 1 день,пол не сообщили,сказали,что ещё рано,но почему-то узист начала уговаривать,что 2 мальчика лучше в семье (есть старший сын,ему 9.5 сейчас).
Я,если честно ничего не понимаю на фото (касательно половой принадлежности),но хотелось бы услышать ваше мнение.
Скажу честно,муж хочет дочку,мне больше все равно,буду рада и дочке,и сыну)
Лучший ответ
Ксения
Я за девочку 💖
31.05.2022
Ответить
София
Девочки, спасибо большое каждой за участие и предложения!
Мне тоже больше кажется,что девочка,мы ещё видео сделали,там как раз попа и ножки видны и я в упор там не вижу того,что могло бы указывать на мальчишку,но понимаю,что ещё очень рано и могло не сформироваться)) В любом случае мы очень рады тому,что ребенок здоров, сдала вчера все необходимые анализы, жду результатов) Всем хорошего дня и чудесного настроения!
01.06.2022
Ответить
Марина
Мне тоже кажется девчачий, но точно будет видно через 5-6 недель))
прекрасные снимки 🥰😍
31.05.2022
Ответить
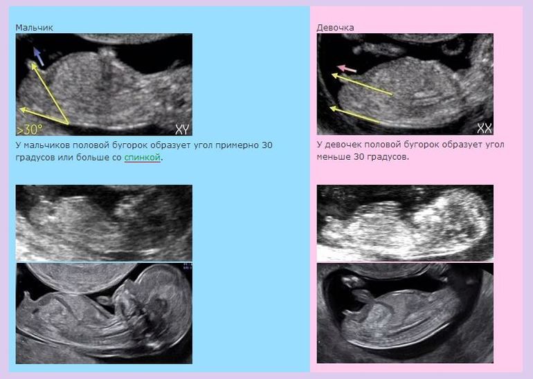
Юлия Sonnце
Мне видится, что половой бугорок девчачий всё же.
Вот гляньте, как различить.
31.05.2022
Ответить
Саша
Мне в 12 недель сказали похоже на девочку но это не точно, а в 16 недель уже точно сказали и прям показали, дочь удачно лежали и ничего не прятала
31.05.2022
Ответить
Оставшиеся комментарии доступны после регистрации
Зарегистрируйтесь и получите полный доступ ко всем функциям сайта.