Пол малыша
Девочки, всем привет, как думаете, кто у нас?) Он или она) предположили очень неуверенно девочку)
Лучший ответ
Антоновка
Даже по личику сказала бы на девочку.
08.07.2022
Ответить
nunotaba
Мне в середавина на 13 неделе сказали мальчик, а в школе ультразвука на 14 три раза смотрели и девочка. Врач сказала половой бугорок формируется как у девочки.
08.07.2022
Ответить
Юлия Sonnце
Не видно половой бугорок... Но если предположил, то, наверное, узисту виднее было.
08.07.2022
Ответить
Лина
Юлия Sonnце, мне просто показалось, что сказал на отмаз)) я у неё спросила она тут же ответила
08.07.2022
Ответить
Юлия Sonnце
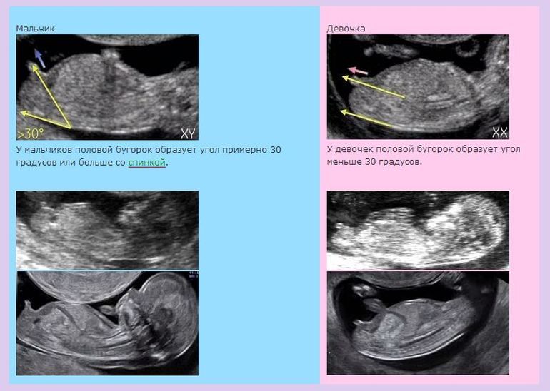
Лина, на таком сроке очень легко перепутать, потому что выглядят одинаково практически что мальчики, что девочки, и грамотный узист не будет предполагать, если не понимает. На вашем фото не видно... Надо, чтобы вот так выглядело))
Может, Вам переделать у другого специалиста? Либо подождать недель до 15-ти - там уж яснее будет.
Может, Вам переделать у другого специалиста? Либо подождать недель до 15-ти - там уж яснее будет.
08.07.2022
Ответить