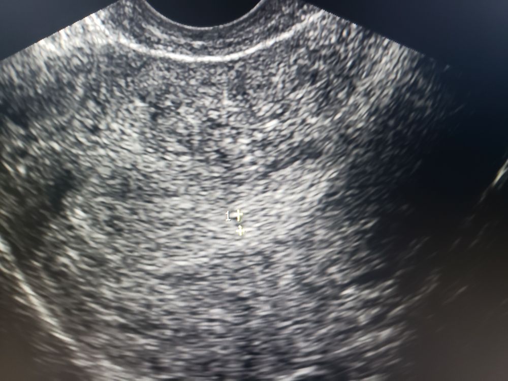
Узи 5 нед 1 д( акушерские)
УЗИ, КТГ, доплерВидимо, была поздняя О, и полоски появились после задержки спустя пару дней, крошка совсем крошка) через 10 дней на повторное УЗИ.
Очень часто ноет живот и поясница, тонус. Пью фолиевую, д3, на узи сказал гинеколог купить но-шпу, еще думаю магний взять.
❤2,7 мм человечек
До сих пор до конца не осознаю...
Лучший ответ
Татьяна
Мне выписали от тонуса магний б6 3 раза в день по 1 таблетке 10 дней. На 7 день курса тонуса уже как рукой сняло (+- соблюдение всех рекомендаций врача). Также к фолиевой рекомендуется йодомарин, если вы живете в дали от моря
03.03.2023
Ответить
Виктория
М б лучше сходить к гинекологу..у меня тянул живот на 6-7 недели беременности..назначили Утрожестан и магний б6..через 2 дня боли ушли..при этом гинеколог сказала что но шпа не поможет..если хотите пить пейте..если вам психологически легче
03.03.2023
Ответить