Замершая? Внематочная? Интересный случай
Всем доброго времени суток! Узнала про ваш форум благодаря подружке))
Вот хочу поделиться своей историй, обсудить, так как сама нервничаю, и для других может однажды станет полезно. По ходу событий постараюсь отписываться, чтобы все знали чем все успокоится.
Начну с того, что мне всю жизнь ставили мультиф яичники, и вот в последние три месяца у меня очень сильно болел живот и поясница. В мае я сделала узи и мне сказали, что эндометрий у меня не соответствует фазе цикла, овуляций нет, не было, и не предвидится. Фолликулов много, но они пустые. И опять в заключении мф яичники. Надо типа пить гормоны)
Я решила начать со сдачи анализов на гормоны. Сдала целую кучу, если вдруг кому понадобится список, напишу в комментах. Гормоны пришли хорошие! Я подумала, что подожду месячных и начну пить маленькую дозу коков по рекомендации врача. Но месячные так и не наступали. Шел 50дц, задержка была уже приличная, но беременности не было и быть не могло в теории. Живу с ппа. С начала июня начал болеть живот. Ну думаю, начнутся месячные. Но их все нет. 3 июня случается незащищенный па, 5,6,7 июня опять начинает ужасно болеть живот, я даже подумала может у меня овуляция? Тогда я должна забеременеть) и я начинаю писать на тесты. В день по тесту я делала точно. 15 июня у меня начинает опять болеть живот и я записываюсь на узи на 16 июня. По узи мне ставят мф яичники, жидкостное образование с солидным пристеночным компонентом 14х15х13 и совершенно не увеличенную матку. Предлагают сдать хгч для исключения беременности, чтобы начать пить коки. Я сдаю хгч в гемотесте, и результат приходит на утро - 5,7. Я в замешательстве. Писаю 17 июня вечером на тест. Еле заметная вторая полоска. Я в сомнениях, но жду утра для концентрированной мочи. Ночью в 3:20 просыпаюсь от того, что ломит тело. Иду в туалет, писаю на тест - две яркие полоски. Чувствую, что начинается диарея. Возвращаюсь в кровать, измеряю температуру - 38,5. К 7 утра сбила парацетамолом до 37,5. В 12 дня еду сдавать хгч - 13,8. Растет. Похоже беременна. Весь этот день температурю и жидко хожу в туалет. На следующий день (20.06)еду на узи. Температуры уже нет, самочувствие идеальное, кроме очень ноющего живота. На узи никакой динамики от 16.06. Все тоже самое, только чуть подрос эндометрий. Приглашают через 10 дней для динамики.
21.06 сдаю хгч - 101
Всю неделю мучаюсь с болями в малом тазу будто месячные, плюс диарея по 5 раз в день. Температуры нет. Толком не сплю.
Писаю на тесты - положительные.
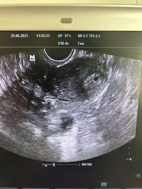
23.06 еду в другой город к гинекологам в стационар, так как боюсь, что это солидное образование в яичнике - внематочная, судя по моему поносу и самочувствию. Там мне это исключают. Якобы размер не подходит по сроку и нет кровотока. Трубы не расширены, подозрения на веематочную нет. Находят в полости матки маленькое анэхогенное зернышко 1,2мм. Фото прикрепляю. Говорят, что возможно, это и есть беременность. Я успокаиваюсь. Еду домой с назначением фолиевой и дюфастона. У меня продолжает болеть живот. Совсем не сплю ночь.
24.06 сдаю хгч- 289. Радуюсь.
Днем совсем скручивает и понос как вода, еду в перинатальный центр в гинекологию на сохранение или на подтверждение вб.
Напоминаю: выделений нет, температуры тоже нет. Только боль в животе по типу менструальных и понос. В выходные меня только колят папаверином.
25.06 утром мне берут оак, бх, хгч, мочу. А вечером у меня поднимается температура 38.1. Ставят капельницу с парацетамолом. Падает до 37. Через час поднимается опять 38. Делают литичку. Папаверин, димедрол, анальгин. Вырубаюсь спать. Утром 26.07 как ни в чем не бывало. Только понос) делают УЗИ на двух аппаратах - в матке ничего не видят. Зато думают, что солидное образование в яичнике 14х15х13 - это плодное яйцо с зб. Напоминаю, яйцо без динамики по кровотоку и размерам с 16.06. Т.е за 10 дней не изменилось. Я спрашиваю может ли это быть кистой желтого тела, мне говорят, что может. Но больше похоже на плодное яйцо. Договариваемся ждать хгч 1000. Очень ждем результат от 25.06. Вечером 26.06 опять повышение температуры до 37,9. Самостоятельно падает до 37,3.
Сегодня 27.06 самочувствие хорошее, только понос. После завтрака мне сообщают воскресный хгч через лабораторию стационара - 217. Я мягко сказать чуть не упала.
--------------
*Сноска по хгч:
16.06 - 5,7
18.06 - 13,8
21.06 - 101
24.06 - 289
25.06 (другая лаб) - 217
-----------------
Договариваюсь с врачом, что поеду в свою лабораторию и перепроверю. Если хгч упал или остановился, я согласна на лапаро. Если все в порядке, ждем значений за 1000, ищем пя на узи и действуем по ситуации.
Вот лежу вся на нервах. Диарея продолжается. Живот иногда тянет.
Послушаю что вы мне скажете, может у кого тоже подобное было.
Лучший ответ
Нашли) 5мм ❤️