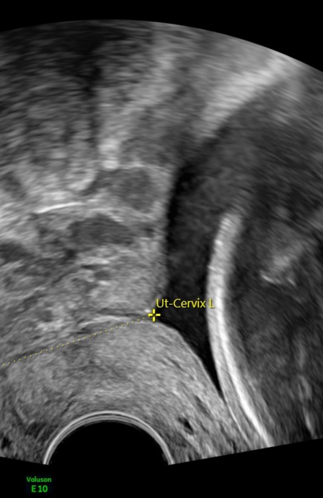
Шейка V образное расширение до 5,5мм
Пессарий, ИЦНДевочки. 16 недель. Хотела пойти в бассейн. Решила посмотреть поднялась ли плацента после скрининга.
в итоге: шейка стала 33, и 29 прямым измерением. была 43:( на первом скрининге.
и V образное расширение до 5,5 мм. зев закрыт.
перешла с дюфастона на утрлжестан.
в общем , подскажите, пожалуйста. может измениться расширение? И насколько это опасно.
один врач говорит пессарий надо ставить в пн. Другой , просто наблюдать каждую неделю.
Ирина
Здравствуйте! Подскажите, вы поставили в итоге что нибудь на шейку? Как сейчас ?
у меня 18 недель точно такая же ситуация
07.11.2023
Ответить
Татьяна
С 22+2 хожу с расширением внутреннего зева 4,6 мм, хожу на узи каждые 1-2 недели, расширение то чуть больше, то меньше, сама шейка в динамике не укорачивается - 29 мм, просто наблюдаем, сейчас срок 27+6
19.08.2023
Ответить
Екатерина П
В первую б. лежала с V-образным расширением в больничке ровно на таком же сроке - в 16 недель. Говорили вставить по минимуму (кушать и в туалет). Делали какие-то уколы (если правильно помню, магнезию и папаверин). За неделю шейка закрылась. До 20 недель потом жила нормальной жизнью без излишней активности, потом все-таки настигла ИЦН.
19.08.2023
Ответить
Екатерина П
Анюта , еще тонус тогда был - 16 нед, после свадьбы:))
У меня в итоге пессарий - недели в 23 поставили, но это все довольно индивидуально - как себя шейки ведут с течением беременности. Поэтому за прогнозы не берусь, единственное, что хорошо помню и чем хотела поделиться - врачи советовали серьезно отнестись к V-образному расширению и максимально беречься. Пусть все закроется у Вас 🙏
19.08.2023
Ответить