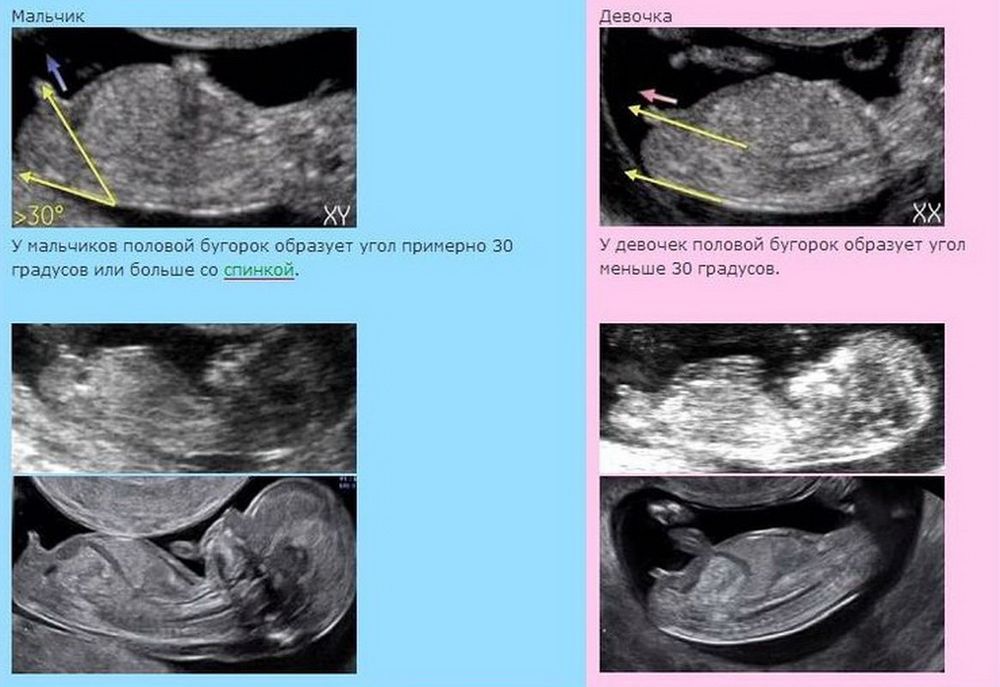
Регина в Благополучная беременность 2 года Пол ребёнка Пол малыша Девочки, какие ваши предположения?) Посмотрите еще 20 записей на эту тему Лучший ответ Mommy По бугорку на первом снимке похоже на девочку) 17.03.2024 Ответить Sabina Mommy, согласна. Вроде говорят у девочек параллельно позвоночнику 17.03.2024 Ответить Mommy Sabina, так у вас и есть параллельно)) 17.03.2024 Ответить Sabina Mommy, это не мой пост))) мы ещё совсем маленькие,но все-таки надеюсь,что будет перпендикулярно, после двух девочек). Но главное конечно здоровый ребёнок, и девочку и мальчика будем любить 18.03.2024 Ответить Отменить Ответить Таня На сыночка больше похож, но фото прям размыты 17.03.2024 Ответить Цветик Мальчик 17.03.2024 Ответить Анастасия Мальчик 17.03.2024 Ответить Anna Мальчик 17.03.2024 Ответить Lupine Девочка 17.03.2024 Ответить Сейлор Мун Мальчик 😊 17.03.2024 Ответить Мамуля кисюля Мальчик 17.03.2024 Ответить Разные китайские таблицы по определению пола ребëнка Наше Гендер пати Чаты Беременных Выберите чат: Январята-2026 Февралята-2026 Мартята-2026 Апрелята-2026 Майчата-2026 Июнята-2026 Июлята-2026 Августята-2026