2 плодных яйца, одно пустое
УЗИ, КТГ, доплер
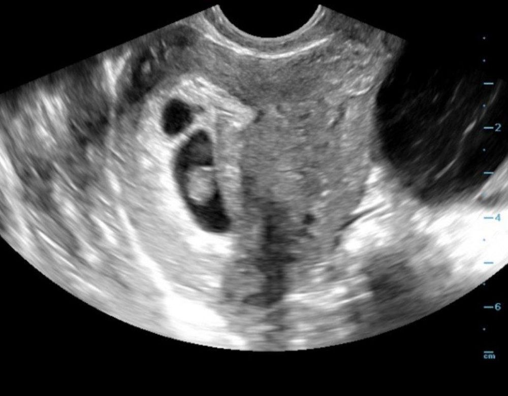
На 8+1 нашли одно пя с эмбрионом сб+, второе пустое и маленькое. У кого было подобное - пустое просто рассосались, по итогу? К какому сроку? И не мог ли доктор ошибиться, и принять гематому за второе пя? Фото приложила
Лучший ответ
Анна
Вполне может быть такое , что одно плодное яйцо содержит эмбрион , второе - нет. Беременность все равно будет развивается и будет один плод. Так бывает. Второй редуцируется и не помешает.
24.06.2024
Ответить
Света-Лана
У меня так было в прошлую Б, второе пя само рассосалось к первому скринингу, родилась дочь. Это так называемый синдром исчезнувшего близнеца
25.06.2024
Ответить
Лёля Персик
У меня было 2 ПЯ, в одном эмбрион с сердцебиением, во втором пусто. Один раз кровь пошла, я побежала на повторное узи, а там уже пустого ПЯ не было.
24.06.2024
Ответить
Capella
у подруги было пустое плодное яйцо - анемброния. никуда не рассосалось, делали чистку в 13 недель.
я думаю вам лучше сделать ещё одно УЗИ у другого врача а после проконсультироваться с гинекологом что и как будет
24.06.2024
Ответить