Первое УЗИ

У меня тоже 5 недель,только мне на УЗИ показали плод
26.11.2016
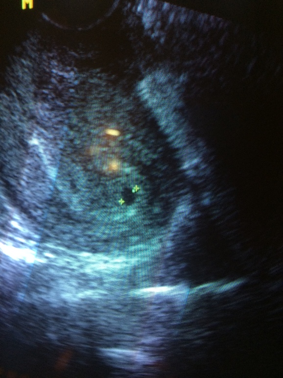
Я тоже за чёрное пятно в центре:)) Вот у вас белая линия горизонтальная линия идет почти по центру, и над ней такое чёрное уплотнение, как вытянутая горошенка. По-моему, что то подобное я у себя видела:)
26.11.2016
В самом центре маленький чёрный кружочек:)Это он;))я свои узи до дырок рассматривала ,вроде уже определяю 😂😂😂😂
26.11.2016
она только снимок дала? а заключение?
25.11.2016
Да, только снимок, я в шоке была что не дали заключение...
25.11.2016
Ничего не вижу. Кто как не узистка должна была сказать.
25.11.2016
а срок у вас какой?? Я чет не вижу ничего....
25.11.2016
5 недель примерно
25.11.2016
тогда еще рано. На УЗИ пусто,может плодное яйцо еще в матку не спустилось. срок маленький очень
25.11.2016
А что подтверждать? Вам врач узист сказал что б есть...
25.11.2016
Мне Г сказала что видит Б, а узистка ни слова ни сказала, вот и переживаю..
25.11.2016
Так в заключении узи должно быть написано, гиня и по картинке этой не скажет вам что да как, узистка все замеры на листке выпускает. Вот почитайте, либо сфотайте
25.11.2016
Гинеколог видит беременность знаете как? У вас синюшность вокруг цервикального канала матки, если видно что матка розовая то вы не беременны. А вообще такой узист это просто кошмар, если переживаете, пойдите к другому врачу, заплатите за УЗИ и все! Я бы не переживала так, никуда ваша беременность не денется если она есть, пейте витамины для беременных и валерьяночку или персен. А срок можно вычислить и самой, берете первый день последней менструации и от него считаете дни до сегодняшнего, это будет акушерский срок. А имбриональный срок вам точно даже УЗИ не скажет, если только вы не знаете точно в какой день у вас была овуляция и произошло зачатие. У меня вот цикл очень длинный 35-40 дней, месячные с большими задержками, у кого 28 дней цикл то от полученного аккушерского срока отнимите 2 недели и узнаете точный имбриональный срок. По мне так у вас 3-4 небели всего. Главное исключить внематочную беременность.посмотрите в описании УЗИ написано что беременность маточная?
01.12.2016
У меня уже пошли М, до сих пор не понимаю как Г могла так ошибиться и вселить надежду, спасибо за поддержку:)
01.12.2016
Пост 3. Я встала на учет! Беременность в стиле ECO (вегетарианство и экологичный образ жизни) Толстая пуповина