Беременность под вопросом,после перевязки труб
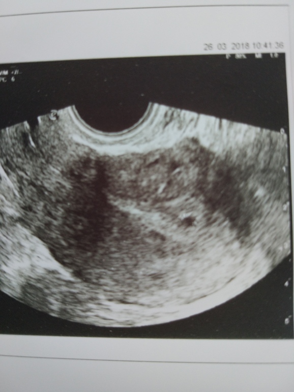
БеременностьУ меня 4 детей и всё путём кесарево сечение,на 4 кесарево порекомендовали врачи сделать перевязку труб .Так и сделала,вот прошло 4 года и вдруг задержка ,боли в низу живота ,потягивает ,левый бог болел, хотелось спать ,тошнило один день.Решила сделать тест отрицательно,но думаю вроде же сделала перевязку.Сегодня была на УЗИ и у гинеколога,врач написала СВД 3,6 мм,на УЗИ показала точку говорит беременность под вопросом.Завтра сдам кровать на ХГЧ,и в четверг к врачу на приём.Сдала ещё мазки .Вот теперь сижу и думаю ждать чуда или нет.Модет у кого-то наступала беременности после перевязки.Фото УЗИ приложила 

Лучший ответ
Наталья
Как у вас дела? Бусина растёт?
02.05.2018
Ответить
Екатерина Нужина
Добрый вечер, вы не ответили, наступила ли беременность после перевязки? Мне это важно)
02.01.2023
Ответить
Ирина (Счастливая мама)
Вот наткнулась на Ваш пост пару дней назад, переживаю теперь, держу кулачки. Сильно заболела после третьих родов (церебростения), задумалась о перевязке труб. Теперь думаю еще крепче😂. Очень надеюсь, что с вами и маленькой крошкой все будет хорошо 😇
30.03.2018
Ответить
эльвира
Состояние моё не очень , хочется спать ,живот низ побаливает ,грудь болит.Тошнит и даже рвало пару раз .Такое у меня первый раз .В общем это ожидание меня мучает
30.03.2018
Ответить
эльвира
Здравствуйте ХГЧ пришёл 80 ,врач сказала что слишком мало для срока который она предполагает ,сдаю сегодня ещё раз и в понедельник повторное УЗИ .Пока ни чего не понятно .
30.03.2018
Ответить
Юля
У меня хгч 86 был на 29 день цикла... Врач тоже говорит маловато.... Сейчас бегает моё маленькое хгч)) не нарадуюсь 😂😂😂
30.03.2018
Ответить
эльвира
Здорово ,буду надеяться что тоже всё будет ,как то мы уже привыкли ,жалко будет если окажется что не беременности
30.03.2018
Ответить
Юля
Если смотреть на мой опыт, то так начинается беременность)) и точка такая же была на УЗИ, врач кряхтела, что типа маленькая, наверно, неразвивающаяся.. Хгч ведь просто так до 80 тоже не поднимается...
Вот только у вас 4 КС в анамнезе.. 5ое конечно риск.. Ну я бы точно очконула)))))
Тихонечко мечтаю ещё об одной дочке, но у меня 3 КС, трубы не перевязала, но вот решусь ли??
30.03.2018
Ответить
эльвира
Я все беременности вынашивала хорошо , восстанавливалась после кс тоже быстро ,да и проблем со здоровьем не было ни когда.Да я понимаю что это риск ,но если уж бог дал ,то не откажусь точно
30.03.2018
Ответить
Анастасия (Домашняя деревенская птица)
А результат какой?Пишите, очень интересно.
27.03.2018
Ответить
эльвира
Результат узнаю в четверг на приёме у врача,там ещё анализы сдавала и мазки .
27.03.2018
Ответить
Маргарита Крокодиловна
Такое действительно бывает. У меня с третьей тоже были тесты отрицательные месяца два точно, потом просто перестала делать их. Тем не менее беременность была и ребенку уже 3 года
28.03.2018
Ответить
эльвира
У каждого человека есть особенности,у меня со второй дочкой месячные шли до 3,5 месяцев
28.03.2018
Ответить
эльвира
А УЗИ показало что 7 недель или как вы потом только на 7 недели уточнили что беременны
30.03.2018
Ответить
Оставшиеся комментарии доступны после регистрации
Зарегистрируйтесь и получите полный доступ ко всем функциям сайта.