Результаты УЗИ оставили вопросы.
УЗИ, КТГ, доплер, скрининг, ХГЧ и другие анализыДорогие мамочки двоен! Нужна ваша консультация. У меня сейчас третья Б. По месячным 7 недель, от зачатия 4. О поздняя. Была на УЗИ сегодня. И оно оставило у меня уйму вопросов.
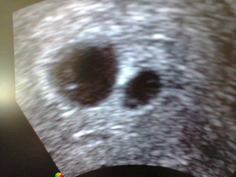
По УЗИ срок поставили 4 недели, ПЯ 8,8 мм, эмбрион пока не видно. Но визуализирутся второе плодное яйцо 5,5 мм под вопросом. То есть или это второе ПЯ и у меня разнояйцевые ребятки, или ретрохориальная гематома (списываю с заключения).
И теперь к вам, милые мамочки, вопросы.
1. На каком сроке Вам говорили, что ПЯ два?
2. Различались ли их размеры?
3. Кто сдавал ХГЧ в динамике на сроке 4 недели, каковы были показатели?
В общем сижу теперь и жду результата ХГЧ. К Г раньше понедельника не попаду. А про ретрохориальную гематому начиталась и стало страшно((
verunchik
В 4 недели от зачатия начало кровить и живот заболел-поскакала на узи-обнаружили гематому и одно плодное яйцо.через неделю на узи следы гематомы-еще не до конца прошла и второе плодное яйцо поменьше размером чем первое.
15.02.2015
Ответить
В.(Малая)
Даже так бывает) Через неделю схожу на УЗИ. ХГЧ сегодня пришел 13500. Нормы лаборатории для 3-4 недель (у меня 3 недели и 4-5 дней было вчера) 3000-5000.
15.02.2015
Ответить
Анастасия
сейчас гляну заключение.. ох, что-то так не понятно и плохо видно значит первый — СВД 19 мм, КТР 3мм, желточный мешок 2 мм, второй — СВД 7,3 мм, КТР 3 мм плодный мешок 1 мм
14.02.2015
Ответить
В.(Малая)
Спасибо. Дней через 10 схожу наверное на УЗИ еще раз. Переживаю, что гематома все-таки..
14.02.2015
Ответить
Танюшка
хгч вдвое превышали норму, сходите на узи в динамике, к 7-8 неделе уже должны сердечки застучать, бывает что вторая овуляция позже происходит, пожтому и срок у леток может быть немного разный, соответственно и размеры, но гематому мне ставили и видели ее и никак с плодным яйцом ее не путали, в общем через недельку советую переделать узи у др специалиста.
14.02.2015
Ответить
В.(Малая)
Спасибо! ХГЧ сдала, завтра результат. УЗИ через пару недель переделаю.
14.02.2015
Ответить
Оля
У меня было одно ПЯ. А вот по поводу гематомы (если это действительно она): гематома — не обязательно печальный финал. Честно, бывает с такими проблемами сталкиваются, что, казалось бы, выносить не суждено, и ничего, рожают. А отслойки и гематомы лечат, часто вполне успешно.
14.02.2015
Ответить
Оля
Обычно назначают препараты прогестерона (дюфастон, утрожестан), магне В6, валерьянку, витамин Е, спазмолитики (но-шпа, папаверин), при необходимости кровоостанавливающие (этамзилат, дицинон, транексам). Ну и фолиевая — это наше все.
14.02.2015
Ответить
В.(Малая)
Фольку пью. Вит Е есть, но дозировка 400. Многовато? В6 есть с прошлой Б.
14.02.2015
Ответить