Первое наращивание*_*
Жду критики и советовУра!!!
Пришли материалы..и сразу же взялись за дело Курс обучения я прошла у Юленьки За что ОЧЕНЬ благодарна
Обучение прошло ОЧЕНЬ легко и интересно.,будто знала её не один день.
Она просто чудесный человек!Я чувствовала себя раскрепощенно.У Юли я получила важные знания и необходимые навыки по наращиванию.Но это ещё не всё,так же она провела для нас забавный мастер-класс по изготовлению домашнего ароматного мыла.Мы были в восторге!
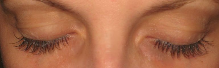
Вот первая работа,которая у меня вышла. Получилось не полное наращивание.Использовала реснички 0,20 загиб С , длины 9,10,11 (Увы,фотографии сделаны не на проф. фотоаппарат.) Вижу свои ошибки...их достаточное количество...(склейки...и редко расположены реснички) Жду критики >>>
реснички до наращивания 
Реснички после наращивания >>>
вот так вот вышло)
единственное, почему вышло не так объёмно? ограничение по времени было?
Мамуля моя заставила наращивать слишком поздно,провозилась с ней до 3 часов ночи,а потом сама же и заныла что хватит ей 