Что делать с зубками?

флюороз скорей всего или дефект эмали при закладке зубов.могут предложить серебрение на начальной стадии,на более выражених пломбирование.
08.09.2017
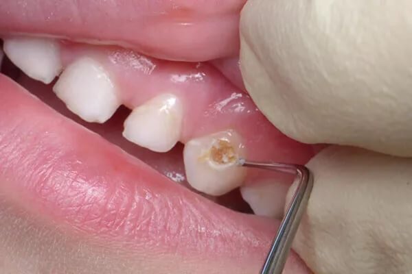
Ну вот на одном зубе как на фото дырочка, может чуть меньше, а на втором жёлтенькое пятно пока стало проявляться ((((
08.09.2017
Жёлтое пятно это флюороз.при дефекте эммали зубы в белых, прозрачных пятнах
08.09.2017
Ну оно не прозрачное и не белое, а желтоватое
08.09.2017
Здесь уже озвучили-это все внутриутробно сформировано, теперь только контролировать у хорошего стоматолога и при появлении постоянных зубов регулярно профессионально чистить, к стоматологу раз в 3 мес и следите потом за жевательными зубками-лучше залить фиссуры. У старшего к 9 годам пульпиты уже были, у средней сейчас пришеечный кариес, а я к стоматологу их вожу регулярно😞
08.09.2017
Спасибо большое ,сколько же всего может быть, бедные детки (((
08.09.2017
Бегом к стоматологу. У нас на коренном была крохотная дырочка, то болели, то ещё что. Пришли через 3 месяца.... Там такая дырища раз'елась. У деток это проходит экспресс-быстро. Кариес пошёл плюс на передних на два сразу посередине. Сказали, что передние не сверлят, посеребрили. Я дико боялась, что все зубы будут черными, но почернело только место кариеса. Потом даже не черный, а графитово-серый. Кариес остановился и почти не заметно. От одного доктора она в кресло вжалась, орет. Та говорит, типа не контактный ребёнок, только под наркозом. Ушли сразу. А вторая, бабулечка, так её уболтала, что на следующее сверление дочка бежала с улыбкой и радостью. И без страха.
08.09.2017
Спасибо большое, будем искать хорошего врача, правда в нашем городе беда с этим(
08.09.2017
Ищите, ради врача я готова и в другой город ездить, лишь бы контакт был сразу) У моего знакомого так было с рождения. Не помню, как называется, но это от матери. Там был токсикоз жуткий, в последние 2 месяца могла есть только тыкву и мандарины. Все молочные зубы были аховые. Ттт, на коренные не перешло, но это нельзя запускать.
08.09.2017
Все что пишут верно, стоматолог посоветует. Но может еще плюс подумать о кальции и витаминах?. Вы молоко употребляете, творог, кефир, твердый сыр особенно хорошо? Все же в формировании зубов важен кальций и фтор и не в зубной пасте а изнутри.
08.09.2017
Вот как раз этого мало употребляю и она сама творог не ест, и молоко не пьет
08.09.2017
Идите к стоматологу
07.09.2017
Ну ясное дело что к стоматологу, а что делают они в таких случаях? Она ж совсем малышка, как лечить ?!
07.09.2017
Мы с 11 месяцев у стоматолога уже были с такой же проблемой. Выписали нам какую то мазь на зубы. Ей покрываешь зубы и она такую белую пленочку образовывает. Но все равно к году у нас передних четыре зуба были в плачевном состоянии . Так что идите к стоматологу и чем раньше тем лучше. Дочке сейчас 9 и стоматологов не боится. она у них чаще чем у педиатора была)
07.09.2017
Какой ужас, я сама их дико боюсь!!!! Тоже с детства зубы плохие были!
07.09.2017
Правильно, к стоматологу. Нам фторирование и реминерализация пастами не помогла, лечили под наркозом
07.09.2017
А от чего такое происходит?
07.09.2017
Мне сказали внутриутробные дефекты заложенной эмали. Влияют токсикоз, болезни матери при беременности в первом триместре, угроза выкидыша в первом триместре.
07.09.2017
Ох, да вроде в начале беременности не было как раз никаких проблем! А может нехватка кальция? Она на гв и до сих пор не ест особо ничего, кроме груди((((
07.09.2017
Мне сказали, что это первый триместр беременности
07.09.2017
Нехватку кальция выявит только анализ
07.09.2017
А нет, токсикоз был, вспомнила)
07.09.2017
ЧТо делать... Идти к стоматологу.
07.09.2017
Нурофен при прорезывании Понос... Что делать?